当前位置: 首页 > 医学版 > 分类新闻 > 国内信息
编号:10515285
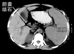
解放军总医院腔镜中心经腹腔镜成功切除巨脾及胆结石
http://www.100md.com 2002年1月31日 中国医学论坛报
解放军总医院腔镜中心经腹腔镜成功切除巨脾及胆结石//

     本报讯 (驻地记者 姚春雨 钱勇)日前,解放军总医院肝胆外科主任周宁新教授等,经腹腔镜成功为1例女性患者切除了23 cm×20 cm的巨大脾脏和胆囊结石。患者因原发性脾亢、胆囊结石入院,周教授和蔡守旺医师等为患者实施了经腹腔镜手术,获得成功。, 百拇医药