当前位置: 首页 > 医学版 > 分类新闻 > 国内信息
编号:10515333
我国脑血管病介入治疗取得新突破,内支架疏通椎基底动脉获成功
http://www.100md.com 2002年2月28日 中国医学论坛报
我国脑血管病介入治疗取得新突破,内支架疏通椎基底动脉获成功//
我国脑血管病介入治疗取得新突破,内支架疏通椎基底动脉获成功//

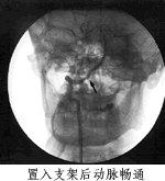
     本报讯 (驻地记者 匡远深)北京天坛医院放射科主任医师姜卫剑等采用血管内支架技术,治疗椎基底动脉供血不足获得成功,半年间完成手术10例,无死亡、无并发症。

    国外最早于5年前曾报道血管内支架治疗椎基底动脉狭窄。到目前为止,有文献记载的手术病人不足50例,其中还有一定的死亡率,国内一直未见报道。该治疗方法风险较大,要求操作医师的介入技术要精,看片(各种神经影像)水平要高,捕捉病变要准,还要具备丰富的神经内科疾病知识。只有这样,才能制定完善的治疗计划,把术中风险降至最低值。

    在姜卫剑治疗的10例患者中,还为2例施行颅内动脉支架术。近日随访显示,这10例患者术后无一死亡及并发症,手术成功率达100%。, http://www.100md.com