前路减压植骨双凤尾档板固定术治疗胸腰椎骨折伴不完全性截瘫
作者:谭远超 张恩忠 徐卫国 王建华 张 卫 邵诗泽 杨永军
单位:山东省文登整骨医院脊柱脊髓科 264400
关键词:胸腰椎;爆裂骨折;前路减压;植骨;双凤尾档板;固定
前路减压植骨双凤尾档板固定术治疗 胸腰椎骨折伴不完全性截瘫 摘要 目的:寻找一种简便而实用的固定方法,观察其对治疗胸腰椎爆裂骨折伴不完全性截瘫的作用。方法:回顾分析23例前路减压植骨并用自行设计的双凤尾档板固定术治疗的胸腰椎骨折伴不完全截瘫患者的临床资料。结果:23例胸腰椎骨折伴不完全截瘫患者术前后凸成角27.5°,术后为6°。骨愈合时间平均为4.5个月,无一例不愈合。22例有Frankel分级一级以上的改善。结论:经前路手术减压、植骨、固定可同时进行,采用大块植骨双凤尾档板固定手术操作简便,固定可靠,植骨融合率高,重建了脊柱的稳定性,可获得脊髓神经功能最大改善。
, http://www.100md.com
Anterior decompression bone grafting and double phoenix-tail plate fixation
in the treatment of thoracolumbar vertebral fracture complicated
by incomplete paraplegia
TAN Yuanchao ZHANG Enzhong XU Weiguo,et al
Chinese Journal of Spine and Spinal Cord,1999,9(2):63~66
Abstract Objective:To search for a new,simple and practicable method for thoracolumbar burst fracture with anterior decompression,fixation and fusion.Method:23 patients with thoracolumbar burst fracture complicating by incomplete paraplegia received anterior decompression bone grafting and fixed by double phoenix-tail plate were followed.Result:The average preoperative posterior prominence angle was 27.5°,the postoperative average was 6°;the time of bone union average was 4.5 months,and there was no case of disunion.22 patients had nervous function improved by one grade or more according to Frankels grading.Conclusion:Anterior decompression,bone grafting and double phoenix-tail plate fixation could be conducted simultaneously.The technique is simple.It could acheive adequate decompression,reliable fixation and high fusion rate,so the greatest improvement on spinal cord and nerve function can be obtained.
, 百拇医药
Author s address Spine and Spinal Cord Department,Wendeng Orthopadic Hospital,Shandong,264400
Key words Thoracolumbar vertebrae Burst fracture Anterior decompression Double phoenix-tail plate Fixation
随着影像学的发展,特别是CT 在临床应用,发现胸腰段骨折造成的脊髓受压大多数来自椎管前方。严重的脊柱爆裂型骨折后路彻底减压常常有一定困难。我们在分析Kaneda〔1〕、杨惠林等〔2〕内固定方法的基础上,根据饶书诚〔3〕椎体钉内固定术,采用前路手术椎管减压,椎体间植骨,中柱、前柱重建,并用自行设计制作的双凤尾档板螺钉固定术治疗胸腰椎爆裂型骨折伴不完全性截瘫48例,随访2年以上23例,经临床观察疗效满意。
, http://www.100md.com
1 临床资料
1.1 一般资料
本组23例中,男14例,女9 例,年龄19~58岁,平均29岁。受伤至手术时间3d~4年。其中2周以内17 例,2周以上6例。损伤节段:T11 2例,T12 9例,L1 8例 ,L2 4例。23例均有脊柱后凸畸形,后凸角18°~45°,平均27.5°。
1.2 损伤分类
参照张光铂〔4〕脊柱损伤机制的综合分类和Denis〔5〕与McAfee分类〔6〕,23例病人均为爆裂型骨折。其中前柱、中柱损伤8例,前、中、后柱损伤15例。23例病人均行CT扫描,后移骨块占椎管矢状径1/3者7例,占2/3者12例,大于2/3不足100%者4例。神经功能损伤按Frankel分级:B级8例,C级12例,D级3例。
, 百拇医药
2 手术方法
2.1 体位与麻醉
侧卧位,气管插管麻醉。选择骨折压迫椎管重的一侧入路,对准腰桥,将手术床调成倒“V”形,直至腰部凹陷消失变平。
2.2 手术显露
手术途径为经胸腹膜外显露椎体的侧前方。以T12~L1 为例。切口起自第10胸椎棘突侧方2~3cm处,延伸至第12肋横突处弯向外侧沿第12肋下缘向前下至腹壁髂前上棘内侧4~5cm处。切开皮肤、皮下组织和筋膜,并分别向两侧适当剥离,显露斜方肌直达腹膜外脂肪。向后上沿第12肋骨切开深筋膜及骶棘肌后鞘,将骶棘肌向背侧中线牵开,显露第12肋骨,切除第12肋,保留肋骨头作为定位标志。沿肋骨床下缘切开腰方肌及腹横肌,显露膈肌脚,钳夹切断膈肌脚直达椎体前外侧。根据骨折椎体的不同节段,确定是否需要做第11肋骨节段性切除,以利于推开胸膜向上显露。剥开腰大肌和膈肌脚,用Mixter氏钳钳夹结扎腰横动静脉,骨膜下充分显露骨折椎体。
, http://www.100md.com
2.3 椎管内骨块切除减压
切除肋骨头,显露椎体后缘及椎弓根,用尖嘴咬骨钳逐步咬除椎弓根。为便于操作,可使用圆凿或小平凿在椎体后外侧部紧靠椎体前缘凿一纵行骨槽,使椎体后壁成为一薄层骨片而易于切除。新鲜骨折亦可直视下切除向后移位至椎管内的松动之骨折片及破碎间盘组织。骨槽一般宽2.5cm,上下延伸至相邻正常椎体骨质为好。减压后应见到脊髓搏动。
2.4 复位椎体间植骨与双凤尾档板固定
用椎体撑开器分开椎间隙,使骨折脱位整复,并恢复原椎体高度和矫正后凸畸形。同时测量所需骨槽长度,以备取合适的髂骨。新鲜骨折脱位应避免过度伸展椎间隙而致脊髓牵拉伤。在陈旧性损伤病人常需切断前纵韧带才能矫正后凸成角畸形。然后切取宽2.5cm,长与所测骨槽长度一致的全板自体髂骨骨块备用。在椎体撑开器的维持下,以推进器将髂骨块嵌插在上、下椎体之间骨槽内,直至骨块陷入椎体内4~6mm,使髂骨块完全位于椎体的中央并略靠近椎体前缘,上、下陷入椎体终板骨质内。然后再按装双尾档板(图1)。纯钛档板AT1有一定韧性,先使其为弓形,双凤尾部嵌入上下椎体终板内,用档板嵌入器锤击档板使其与髂骨块平行贴紧后,在骨块中央钻孔,用一枚螺丝钉将档板牢固地固定在骨块上。完成减压植骨固定的全部过程后,将腰桥放平用摇摆手法检查固定的稳定性。修复膈肌脚,腹膜后置负压引流管,分层缝合各层肌肉、皮下及皮肤。
, http://www.100md.com
图1 ①双凤尾档板 ②螺钉 ③骨块、螺钉嵌入器 ④螺钉拧入器
2.5 术后处理
术后负压引流管24~48h,2周拆线,8~10周戴腰背支架下床活动,至骨折愈合方可解除支架。
3 结果
本组23例术后随访最短24个月,最长5年4个月,平均3年8个月。术前脊柱后凸畸形,后凸角18°~45°,平均27.5°,术后为0°~16°,平均6°。17例新鲜骨折病人术后基本矫正(图2~5,插Ⅱ),6例陈旧骨折术后仍有轻度畸形。术后每月摄片1次,骨愈后时间为5~8个月,平均为6个月。术后2例病人出现气胸,均经胸腔闭式引流1周后痊愈。23例病人术前均有不同程度的截瘫,除1例D级为伤后4年,因后凸角较大,故术中做前路植骨,以重建其脊柱中柱、前柱,矫正其后凸成角为目的外,22例均有Frankel一级以上的改善。13例术前有括约肌功能障碍者术后随诊时大部或完全恢复。



, http://www.100md.com
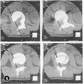
图2 X线示L1爆裂骨折 图3 CT扫描示L1前、中、后柱损伤,椎管2/3梗阻 图4 术后随诊X线像示椎体前缘恢复正常高度,椎间隙有骨小梁通过 图5 术后CT扫描示椎管内骨块彻底清除,植骨块与档板位置适中
4 讨论
4.1 脊柱前路手术的依据
爆裂型脊柱骨折所致的脊髓受压大多数来自硬脊膜的前方,CT扫描可发现椎体后缘骨块,Trafton〔7〕等认为T12或L1的爆裂型骨折,若椎管矢状面被占据达50%或更多时,则神经损伤的危险性显著增大,并有明显的进行性加重。对严重爆裂型骨折,采用后路手术间接减压常有困难。以往单纯依靠正侧位X线片来说明中柱未受损伤,而采用过伸位复位以及后路手术方法,如“压中间撬两头”的方法(Harrington-Edwords)〔8〕使脊柱伸直或各种短节段椎弓根钉内固定方法(Dick、CDI) 等都具有一定的危险性。前路手术是在直视下切除致压物,减压彻底,椎管扩大可靠。爆裂型骨折往往前柱、中柱压缩较明显,而后柱韧带复合结构相对损伤较小,故前路手术减压对脊柱“运动单位”的解剖状态破坏最小,无椎板广泛切除后瘢痕继续压迫之忧,且最大限度重建了脊柱中柱、前柱结构,从而使椎体恢复正常序列。本组17例新鲜骨折术后基本完全恢复正常序列,6例陈旧骨折也有较明显的改善。
, 百拇医药
4.2 前路植骨固定的力学原理
脊柱是多椎节椎骨构成的一个活动单元,无论是在椎体或椎弓根的螺丝钉其固定作用都是暂时的,时间长了就会松动失效,螺母与螺杆之间也会随着时间的延长而自动松动。严重压缩及爆裂型骨折经后路器械整复固定及植骨融合后,经随访发现,后凸成角矫正度会逐渐丢失,即术后后凸成角复发,而前路植骨固定则很少发生再成角。用Dick 钉末端挑在椎体矫正脊柱后凸的想法是不符合力学原理的。因站立时躯干部分重力位于运动轴线的腹面,运动节段受到向前弯曲的力矩,后路植骨固定后,不负重脊柱的瞬时旋转轴在固定段内移向背侧,因而在植骨处产生张力而影响愈合,愈合后也易在张力下损伤〔2〕。Goldeman认为后路内固定器在脊柱站立位时只吸收部分轴向压缩负荷并向背侧偏离负重线,因此不能防止后凸畸形的发生。前路植骨固定在生物力学上正好固定于运动节段的负重部分,恢复了脊柱的中柱、前柱功能。即使后路固定的强度和刚度与前路植骨固定相同,前路植骨固定亦比后路固定的承载能力要好。
, http://www.100md.com
4.3 双凤尾档板的特点
自行设计的双凤尾钢板采用AT1型医用纯钛制作,其化学成分和机械性能符合国家植入物标准,结构简单,手术操作简便。术前根据每一例病人损伤节段相邻椎体高度制成符合伤椎高度的双凤尾钢板,以便术中固定植入得心应手。术中应注意:①先凿槽,后切除椎体后缘骨块,椎体后缘及上下椎间盘必须彻底切除,从前方充分显露硬膜。②在骨槽的上下端必须达到上下相邻椎体终板,显露出椎体骨质,使髂骨块顶在上、下椎体骨性终板上。③髂骨块植入椎体中央,充分发挥其支撑稳定和固定融合的作用。④用双凤尾钢板固定在植骨的上、下椎体之间,双凤尾部分分别嵌入上、下椎体终板。
作者体会,经脊柱前路椎管减压双凤尾档板固定术有以下优点:①减压、植骨、固定可同时进行,达到一期脊柱重建的目的;②在直视下切除突入椎管内的致压物,加重脊髓损伤的机会小,减压彻底;③截瘫恢复率高,即使陈旧性脊柱骨折在截瘫恢复保持恒定后,行前路减压术后神经功能仍有恢复;④对于陈旧性骨折局部成角较大者可行单纯前路植骨固定以矫正后凸畸形,重建脊柱中、前柱稳定性;⑤自制纯钛双凤尾档板与MRI有良好的相容性,手术后进行植入部位的MRI检查,可清楚地显示椎管及其相邻的组织结构;⑥前路减压、髂骨植骨、双凤尾档板固定符合脊柱生物力学特点,可一期手术重建脊柱稳定性,免于二次后路手术取内固定;⑦固定可靠,减压彻底。
, http://www.100md.com
参考文献
[1] Kaneda K.Burst fractures with neureologic deficits of the thoracolumbar spine results of anterior decompression and stabilization with anterior instrumntation.Spine,1984,9:788.
[2] 杨惠林,唐天驷,许立,等.前路胸腰部脊柱重建术.中华骨科杂志,1992,1:13.
[3] 饶书诚,牟至善.胸腰椎骨折的前路减压与融合固定术.中华骨科杂志,1989,8:343.
[4] 张光铂,李子荣,张雪哲.胸腰椎损伤的分类与治疗.中华外科杂志,1989,27(2):71.
, 百拇医药
[5] Denis F.Spinal instability as defined by the threecolumn spine concept in acute spinal traumatism.Orthop,1984,198:65.
[6] McAfee PC.The value of computed-tomography in thoracolumbar fracturesion analysis of one hundred consecutive cases and a new classification.J Bone Joint Surg(Am),1983,65:461.
[7] Trafton PG.Computed tomography of thoracic and lumbar spinal injuried.J Trauma,1984,24:506.
[8] 沈根标,崔海相,阮狄克,等.爱德华兹(Edwards)套棒治疗胸腰脊柱不稳定型骨折.中国脊柱脊髓杂志,1991.1(1):33.
收稿日期:1997-10-23 末次修回日期:1998-12-28, 百拇医药
单位:山东省文登整骨医院脊柱脊髓科 264400
关键词:胸腰椎;爆裂骨折;前路减压;植骨;双凤尾档板;固定
前路减压植骨双凤尾档板固定术治疗 胸腰椎骨折伴不完全性截瘫 摘要 目的:寻找一种简便而实用的固定方法,观察其对治疗胸腰椎爆裂骨折伴不完全性截瘫的作用。方法:回顾分析23例前路减压植骨并用自行设计的双凤尾档板固定术治疗的胸腰椎骨折伴不完全截瘫患者的临床资料。结果:23例胸腰椎骨折伴不完全截瘫患者术前后凸成角27.5°,术后为6°。骨愈合时间平均为4.5个月,无一例不愈合。22例有Frankel分级一级以上的改善。结论:经前路手术减压、植骨、固定可同时进行,采用大块植骨双凤尾档板固定手术操作简便,固定可靠,植骨融合率高,重建了脊柱的稳定性,可获得脊髓神经功能最大改善。
, http://www.100md.com
Anterior decompression bone grafting and double phoenix-tail plate fixation
in the treatment of thoracolumbar vertebral fracture complicated
by incomplete paraplegia
TAN Yuanchao ZHANG Enzhong XU Weiguo,et al
Chinese Journal of Spine and Spinal Cord,1999,9(2):63~66
Abstract Objective:To search for a new,simple and practicable method for thoracolumbar burst fracture with anterior decompression,fixation and fusion.Method:23 patients with thoracolumbar burst fracture complicating by incomplete paraplegia received anterior decompression bone grafting and fixed by double phoenix-tail plate were followed.Result:The average preoperative posterior prominence angle was 27.5°,the postoperative average was 6°;the time of bone union average was 4.5 months,and there was no case of disunion.22 patients had nervous function improved by one grade or more according to Frankels grading.Conclusion:Anterior decompression,bone grafting and double phoenix-tail plate fixation could be conducted simultaneously.The technique is simple.It could acheive adequate decompression,reliable fixation and high fusion rate,so the greatest improvement on spinal cord and nerve function can be obtained.
, 百拇医药
Author s address Spine and Spinal Cord Department,Wendeng Orthopadic Hospital,Shandong,264400
Key words Thoracolumbar vertebrae Burst fracture Anterior decompression Double phoenix-tail plate Fixation
随着影像学的发展,特别是CT 在临床应用,发现胸腰段骨折造成的脊髓受压大多数来自椎管前方。严重的脊柱爆裂型骨折后路彻底减压常常有一定困难。我们在分析Kaneda〔1〕、杨惠林等〔2〕内固定方法的基础上,根据饶书诚〔3〕椎体钉内固定术,采用前路手术椎管减压,椎体间植骨,中柱、前柱重建,并用自行设计制作的双凤尾档板螺钉固定术治疗胸腰椎爆裂型骨折伴不完全性截瘫48例,随访2年以上23例,经临床观察疗效满意。
, http://www.100md.com
1 临床资料
1.1 一般资料
本组23例中,男14例,女9 例,年龄19~58岁,平均29岁。受伤至手术时间3d~4年。其中2周以内17 例,2周以上6例。损伤节段:T11 2例,T12 9例,L1 8例 ,L2 4例。23例均有脊柱后凸畸形,后凸角18°~45°,平均27.5°。
1.2 损伤分类
参照张光铂〔4〕脊柱损伤机制的综合分类和Denis〔5〕与McAfee分类〔6〕,23例病人均为爆裂型骨折。其中前柱、中柱损伤8例,前、中、后柱损伤15例。23例病人均行CT扫描,后移骨块占椎管矢状径1/3者7例,占2/3者12例,大于2/3不足100%者4例。神经功能损伤按Frankel分级:B级8例,C级12例,D级3例。
, 百拇医药
2 手术方法
2.1 体位与麻醉
侧卧位,气管插管麻醉。选择骨折压迫椎管重的一侧入路,对准腰桥,将手术床调成倒“V”形,直至腰部凹陷消失变平。
2.2 手术显露
手术途径为经胸腹膜外显露椎体的侧前方。以T12~L1 为例。切口起自第10胸椎棘突侧方2~3cm处,延伸至第12肋横突处弯向外侧沿第12肋下缘向前下至腹壁髂前上棘内侧4~5cm处。切开皮肤、皮下组织和筋膜,并分别向两侧适当剥离,显露斜方肌直达腹膜外脂肪。向后上沿第12肋骨切开深筋膜及骶棘肌后鞘,将骶棘肌向背侧中线牵开,显露第12肋骨,切除第12肋,保留肋骨头作为定位标志。沿肋骨床下缘切开腰方肌及腹横肌,显露膈肌脚,钳夹切断膈肌脚直达椎体前外侧。根据骨折椎体的不同节段,确定是否需要做第11肋骨节段性切除,以利于推开胸膜向上显露。剥开腰大肌和膈肌脚,用Mixter氏钳钳夹结扎腰横动静脉,骨膜下充分显露骨折椎体。
, http://www.100md.com
2.3 椎管内骨块切除减压
切除肋骨头,显露椎体后缘及椎弓根,用尖嘴咬骨钳逐步咬除椎弓根。为便于操作,可使用圆凿或小平凿在椎体后外侧部紧靠椎体前缘凿一纵行骨槽,使椎体后壁成为一薄层骨片而易于切除。新鲜骨折亦可直视下切除向后移位至椎管内的松动之骨折片及破碎间盘组织。骨槽一般宽2.5cm,上下延伸至相邻正常椎体骨质为好。减压后应见到脊髓搏动。
2.4 复位椎体间植骨与双凤尾档板固定
用椎体撑开器分开椎间隙,使骨折脱位整复,并恢复原椎体高度和矫正后凸畸形。同时测量所需骨槽长度,以备取合适的髂骨。新鲜骨折脱位应避免过度伸展椎间隙而致脊髓牵拉伤。在陈旧性损伤病人常需切断前纵韧带才能矫正后凸成角畸形。然后切取宽2.5cm,长与所测骨槽长度一致的全板自体髂骨骨块备用。在椎体撑开器的维持下,以推进器将髂骨块嵌插在上、下椎体之间骨槽内,直至骨块陷入椎体内4~6mm,使髂骨块完全位于椎体的中央并略靠近椎体前缘,上、下陷入椎体终板骨质内。然后再按装双尾档板(图1)。纯钛档板AT1有一定韧性,先使其为弓形,双凤尾部嵌入上下椎体终板内,用档板嵌入器锤击档板使其与髂骨块平行贴紧后,在骨块中央钻孔,用一枚螺丝钉将档板牢固地固定在骨块上。完成减压植骨固定的全部过程后,将腰桥放平用摇摆手法检查固定的稳定性。修复膈肌脚,腹膜后置负压引流管,分层缝合各层肌肉、皮下及皮肤。
, http://www.100md.com
图1 ①双凤尾档板 ②螺钉 ③骨块、螺钉嵌入器 ④螺钉拧入器
2.5 术后处理
术后负压引流管24~48h,2周拆线,8~10周戴腰背支架下床活动,至骨折愈合方可解除支架。
3 结果
本组23例术后随访最短24个月,最长5年4个月,平均3年8个月。术前脊柱后凸畸形,后凸角18°~45°,平均27.5°,术后为0°~16°,平均6°。17例新鲜骨折病人术后基本矫正(图2~5,插Ⅱ),6例陈旧骨折术后仍有轻度畸形。术后每月摄片1次,骨愈后时间为5~8个月,平均为6个月。术后2例病人出现气胸,均经胸腔闭式引流1周后痊愈。23例病人术前均有不同程度的截瘫,除1例D级为伤后4年,因后凸角较大,故术中做前路植骨,以重建其脊柱中柱、前柱,矫正其后凸成角为目的外,22例均有Frankel一级以上的改善。13例术前有括约肌功能障碍者术后随诊时大部或完全恢复。
, http://www.100md.com
图2 X线示L1爆裂骨折 图3 CT扫描示L1前、中、后柱损伤,椎管2/3梗阻 图4 术后随诊X线像示椎体前缘恢复正常高度,椎间隙有骨小梁通过 图5 术后CT扫描示椎管内骨块彻底清除,植骨块与档板位置适中
4 讨论
4.1 脊柱前路手术的依据
爆裂型脊柱骨折所致的脊髓受压大多数来自硬脊膜的前方,CT扫描可发现椎体后缘骨块,Trafton〔7〕等认为T12或L1的爆裂型骨折,若椎管矢状面被占据达50%或更多时,则神经损伤的危险性显著增大,并有明显的进行性加重。对严重爆裂型骨折,采用后路手术间接减压常有困难。以往单纯依靠正侧位X线片来说明中柱未受损伤,而采用过伸位复位以及后路手术方法,如“压中间撬两头”的方法(Harrington-Edwords)〔8〕使脊柱伸直或各种短节段椎弓根钉内固定方法(Dick、CDI) 等都具有一定的危险性。前路手术是在直视下切除致压物,减压彻底,椎管扩大可靠。爆裂型骨折往往前柱、中柱压缩较明显,而后柱韧带复合结构相对损伤较小,故前路手术减压对脊柱“运动单位”的解剖状态破坏最小,无椎板广泛切除后瘢痕继续压迫之忧,且最大限度重建了脊柱中柱、前柱结构,从而使椎体恢复正常序列。本组17例新鲜骨折术后基本完全恢复正常序列,6例陈旧骨折也有较明显的改善。
, 百拇医药
4.2 前路植骨固定的力学原理
脊柱是多椎节椎骨构成的一个活动单元,无论是在椎体或椎弓根的螺丝钉其固定作用都是暂时的,时间长了就会松动失效,螺母与螺杆之间也会随着时间的延长而自动松动。严重压缩及爆裂型骨折经后路器械整复固定及植骨融合后,经随访发现,后凸成角矫正度会逐渐丢失,即术后后凸成角复发,而前路植骨固定则很少发生再成角。用Dick 钉末端挑在椎体矫正脊柱后凸的想法是不符合力学原理的。因站立时躯干部分重力位于运动轴线的腹面,运动节段受到向前弯曲的力矩,后路植骨固定后,不负重脊柱的瞬时旋转轴在固定段内移向背侧,因而在植骨处产生张力而影响愈合,愈合后也易在张力下损伤〔2〕。Goldeman认为后路内固定器在脊柱站立位时只吸收部分轴向压缩负荷并向背侧偏离负重线,因此不能防止后凸畸形的发生。前路植骨固定在生物力学上正好固定于运动节段的负重部分,恢复了脊柱的中柱、前柱功能。即使后路固定的强度和刚度与前路植骨固定相同,前路植骨固定亦比后路固定的承载能力要好。
, http://www.100md.com
4.3 双凤尾档板的特点
自行设计的双凤尾钢板采用AT1型医用纯钛制作,其化学成分和机械性能符合国家植入物标准,结构简单,手术操作简便。术前根据每一例病人损伤节段相邻椎体高度制成符合伤椎高度的双凤尾钢板,以便术中固定植入得心应手。术中应注意:①先凿槽,后切除椎体后缘骨块,椎体后缘及上下椎间盘必须彻底切除,从前方充分显露硬膜。②在骨槽的上下端必须达到上下相邻椎体终板,显露出椎体骨质,使髂骨块顶在上、下椎体骨性终板上。③髂骨块植入椎体中央,充分发挥其支撑稳定和固定融合的作用。④用双凤尾钢板固定在植骨的上、下椎体之间,双凤尾部分分别嵌入上、下椎体终板。
作者体会,经脊柱前路椎管减压双凤尾档板固定术有以下优点:①减压、植骨、固定可同时进行,达到一期脊柱重建的目的;②在直视下切除突入椎管内的致压物,加重脊髓损伤的机会小,减压彻底;③截瘫恢复率高,即使陈旧性脊柱骨折在截瘫恢复保持恒定后,行前路减压术后神经功能仍有恢复;④对于陈旧性骨折局部成角较大者可行单纯前路植骨固定以矫正后凸畸形,重建脊柱中、前柱稳定性;⑤自制纯钛双凤尾档板与MRI有良好的相容性,手术后进行植入部位的MRI检查,可清楚地显示椎管及其相邻的组织结构;⑥前路减压、髂骨植骨、双凤尾档板固定符合脊柱生物力学特点,可一期手术重建脊柱稳定性,免于二次后路手术取内固定;⑦固定可靠,减压彻底。
, http://www.100md.com
参考文献
[1] Kaneda K.Burst fractures with neureologic deficits of the thoracolumbar spine results of anterior decompression and stabilization with anterior instrumntation.Spine,1984,9:788.
[2] 杨惠林,唐天驷,许立,等.前路胸腰部脊柱重建术.中华骨科杂志,1992,1:13.
[3] 饶书诚,牟至善.胸腰椎骨折的前路减压与融合固定术.中华骨科杂志,1989,8:343.
[4] 张光铂,李子荣,张雪哲.胸腰椎损伤的分类与治疗.中华外科杂志,1989,27(2):71.
, 百拇医药
[5] Denis F.Spinal instability as defined by the threecolumn spine concept in acute spinal traumatism.Orthop,1984,198:65.
[6] McAfee PC.The value of computed-tomography in thoracolumbar fracturesion analysis of one hundred consecutive cases and a new classification.J Bone Joint Surg(Am),1983,65:461.
[7] Trafton PG.Computed tomography of thoracic and lumbar spinal injuried.J Trauma,1984,24:506.
[8] 沈根标,崔海相,阮狄克,等.爱德华兹(Edwards)套棒治疗胸腰脊柱不稳定型骨折.中国脊柱脊髓杂志,1991.1(1):33.
收稿日期:1997-10-23 末次修回日期:1998-12-28, 百拇医药