腰椎间盘细胞的培养及形态学观察
作者:刘勇 胡有谷 吕振华
单位:266003 山东省青岛大学医学院附属医院骨科
关键词:椎间盘;细胞,培养的
中华医学杂志990209 【摘要】 目的 通过对椎间盘细胞的培养,观察细胞的演变,以便更深入地研究椎间盘退变的细胞因素。方法 取3例人体胚胎、1例正常成人的腰椎间盘,在HAM F12加质量分数为10%的灭活胎牛血清培养液中,建立了体外人椎间盘细胞培养模型,并对细胞进行了冻存复苏、光镜及透射电镜观察。结果 (1)原代、次代的椎间盘细胞的生物学性状最接近体内的细胞。随传代次数的增加,脊索细胞及软骨细胞表现出反分化的特性。(2)解冻复苏细胞的形态及代谢能力与冻存前基本相同。(3)椎间盘细胞内细胞器的结构变化与其生物学活性的变化相一致。结论 人体腰椎间盘细胞体外培养的成功,为椎间盘细胞生物学研究及临床药物学实验研究提供了一个体外实验模型。
, http://www.100md.com
Cells culture of human lumbar disc and its morphological observation LIU Yong, HU Yougu, LU Zhenhua. Laboratory of Orthopaedics, Affiliated Hospital of Medical College, Qingdao University, Qingdao 266003
【Abstract】 Objective To observe the continuous changes of disc cells, and explore the degeneration influenced by the cell effects.Methods Three discs were obtained from three human embryoes and one was from a healthy adult. They were dissected and were digested with trypsin and collagenase. The isolated cells were cultured in HAM F-12 medium and 10% fetal bovine serum. The cultured cells were refrigerated and revived for observation under light microscope and TEM. Results The biological characteristics of the primary and the second generation of the disc cells were similar to those of the cells in vivo. After subculture, notochordal cells and chondrocytes were shown the characteristics of dedifferention. The metabolism of the revived cells after refrigeration was normal. The structures of the organellae in disc cells varied with the changes of cell biological characteristics.Conclusion This successful model is useful for the study of biology and pharmacology of human disc cells.
, http://www.100md.com
【Key words】 Intervertebral disc Cells,cultured
(Natl Med J China, 1999, 79:109-111)
腰椎间盘退变是引起腰腿痛的重要原因。其发生机理仍不十分清楚。随着年龄的增长和腰椎间盘的退变,椎间盘的生化成分出现显著改变[1]。目前的研究结果提示:这一变化不仅是椎间盘营养来源匮乏的结果,也可能与椎间盘的生物学特性有关。这一变化的彻底揭示,尚有待于腰椎间盘细胞的细胞生物学研究[2]。为此,我们进行了人胚及正常成人腰椎间盘细胞培养的工作,以探讨椎间盘细胞的生物学行为及影响因素,为今后以分子生物学方法对细胞的基因表达和调控进行研究奠定基础。
对象和方法
一、对象
, http://www.100md.com
采用保胎失败、自然流产胎儿3例,分别为3、4、6个月,流产1 小时内取腰椎间盘。成人27岁1例,脑外伤死亡4小时内取腰椎间盘。
二、方法
例1为4个月胚胎,将整个椎间盘剪碎进行培养,未分离纤维环、髓核及软骨终板。例2为3个月胚胎,分离髓核、软骨终板及纤维环内、外层分别进行培养。其余两例组织分离方法同第2例。将取下的组织分别浸于D-Hanks液中,剪成碎块。于37℃下,以质量分数为0.25%的胰蛋白酶消化髓核20分钟,消化软骨终板及纤维环内、外层30分钟,每5分钟摇动一次。低速离心(800r/min)5分钟,吸除上清液、于36.5℃下用 0.2%的胶原酶静置消化4小时。消化物用4层无菌纱布过滤。细胞用HAM F-12-10%FBS(胎牛血清)培养液冲洗3次,低速离心5分钟。计数板进行细胞计数。将细胞分别接种于培养瓶和培养管中。胚胎细胞以8×106细胞/ml密度进行接种培养。成人椎间盘细胞按104细胞/ml密度接种。在37℃、体积分数为5%CO2的培养箱中培养。每2~3天换一次液,按时用倒置相差显微镜进行观察、拍照。细胞融合为单层时用胰蛋白酶消化以进行细胞传代。分期(12~15天)取出培养管内的盖片,进行Giemsa细胞染色。用橡皮刀刮取不同培养时期的细胞,固定、包埋后,进行超切、染色,在60KV或80KV下行透射电镜观察、拍照。将传至2或3代的部分细胞用胰蛋白酶消化、离心以及吸除上清液后,加入含10%二甲基亚砜(DMSO)的培养液,-1℃/分钟缓慢降温,至-100℃时迅速冻入液氮中。细胞冻存6个月后复苏。
, 百拇医药
结 果
一、光镜观察:
1.例1胚胎椎间盘细胞:24小时后95%以上的细胞贴壁,可清晰分辨出以下三种细胞:胞体略小、多角形的脊索细胞,胞体略大而圆的软骨细胞或软骨样细胞,梭形的纤维样细胞。胞质内可见分泌颗粒,核仁1~3个不等。融合后的细胞多呈梭形,传代后细胞密度减低,形状又变为多角形、星形或梭形。以后每12~14天传一代。4代后细胞分裂、增殖逐渐变慢,胞质中偶见空泡。
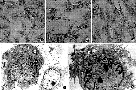
2.例2胚胎椎间盘细胞:(1)髓核细胞:10~12小时后95%的细胞贴壁,为胞体较小的脊索细胞,呈多角形,见圆形核,伸出多个伪足,11天左右细胞长满瓶壁。3代后细胞生长明显减慢,胞质内偶见空泡。更多传代后细胞的形状逐渐变为梭形(图1)。(2)软骨终板及纤维环内层细胞:10小时后大部分细胞贴壁生长,为呈椭圆、梭形或多角形的软骨细胞,其胞体较脊索细胞大,伸出伪足,胞质内见分泌颗粒,胞核圆或椭圆形。每13~14天传一代。传至3代后,细胞生长缓慢,15~20天传一代,细胞的形状渐以梭形为主(图2)。(3)纤维环外层细胞:10小时左右大部分细胞贴壁生长,多为呈梭形或多角形、核圆的纤维样细胞,有伪足伸出。9天左右细胞长满瓶壁,每12~13天传一代,3代后细胞传代时间有所延长(图3)。
, http://www.100md.com
3.例3胚胎椎间盘细胞:脊索细胞、软骨细胞及纤维样细胞在原代及次代的形状与上例同种细胞相似,但生长较后者缓慢,3种细胞均15~18天传一代,3代后细胞分裂、增殖速度明显减慢。
4.例4成人椎间盘细胞:细胞贴壁速度较胚胎椎间盘细胞明显减慢,1周后始有部分细胞贴壁。细胞轮廓不如培养的胚胎椎间盘细胞清楚,细胞核呈圆形,2周后细胞贴壁数目增多,但是细胞生长及增殖极为缓慢,呈现相对稳定的生长状态。
5.解冻复苏的细胞:细胞的形态及分裂、增殖能力与冻存前基本相同。
二、透射电镜超微结构观察:
1.脊索细胞:原代细胞多为不规则形,周围伸出许多绒毛状突起,细胞核呈圆形、卵圆形或形态不规则,核仁多偏于细胞核的一侧,常染色质占优势。细胞质内可看到多种细胞器。次代和第3代的细胞内线粒体较上代略有减少,内质网囊池扩张较前代明显,核糖体亦有所减少,胞质内可见散在的溶酶体,少部分细胞胞质内可见脂滴、空泡及微丝(图4~5)。
, http://www.100md.com
图1 次代椎间盘脊索细胞光镜结构Giemsa染色×200
图2 次代椎间盘软骨细胞光镜结构Giemsa染色 ×200
图3 次代椎间盘纤维样细胞光镜结构Giemsa染色 ×200
图4 原代椎间盘脊索细胞超微结构透射电镜P:细胞膜,N:细胞核,Nu:核仁,R:粗面内质网,M:线粒体 ×4000
图5 3代椎间盘脊索细胞超微结构透射电镜V:空泡 Ly:溶酶体 ×6 000
2.软骨细胞:原代细胞呈卵圆形或不规则形。细胞核不规则,核质内常染色质占优势。胞质内线粒体较丰富,向内突出的嵴部分缺如。粗面内质网多为游离的囊泡,上有核糖体附着,部分内质网囊池扩张,初、次级溶酶体散在分布于胞质内。3代细胞核大而不规则,内见1~2个核仁,核多偏于细胞的一侧,胞核内仍为常染色质占优势。线粒体及核糖体较上代略有减少,粗面内质网扩张明显,并可见溶酶体及少量的微丝。
, http://www.100md.com
3.纤维样细胞:原代细胞呈梭形或多角形。细胞核不规则,核仁1~3个不等,常染色质占优势。胞质内线粒体较丰富,粗面内质网囊池部分扩张,溶酶体可有单位膜包绕。高尔基复合体少见。传至3代的大多数细胞常染色质较异染色质多,少部分细胞核内常染色质较异染色质少,核仁染色不明显。胞质内可见线粒体、高度扩张的粗面内质网及微丝。核蛋白体在细胞质中散在分布,初、次级溶酶体较前增加。
4.混合培养的胚胎椎间盘细胞:3代时的细胞形状大小不等。可见脊索细胞,软骨细胞和纤维样细胞,形态同上。传至8代时的细胞大小均匀,呈不规则形或梭形。核仁明显,核内异染色质和常染色质接近均等分布。胞质内线粒体、核糖体明显减少,粗面内质网极度扩张,溶酶体较多,并可见胞质内大的空泡或脂滴。
讨 论
在细胞培养过程中,软骨、纤维样组织细胞的正常生长和增殖受各种因素的影响。细胞于CO2培养箱内,每2~3天换液一次,以观察细胞状态。关于培养基,HAM F12培养基特别适用于单细胞培养[3-5],细胞生长状态良好,能增殖并传代。
, 百拇医药
在细胞培养中的培养基酸碱度一般应为pH 7.4[3]。Ichimura等[4]发现在髓核细胞的培养中,培养液的pH值要求是严格的,最适宜为pH7.0。纤维环细胞生长的pH值则较宽,为pH7.0~7.6,此时细胞均有增殖。在本研究中,将人体的脊索细胞、软骨细胞或软骨样细胞、纤维样细胞的培养基的pH值均保持在7.0~7.4之间,前几代细胞的增殖都较旺盛,髓核细胞和纤维环细胞在pH7.4时的生存活力未见明显的差异性。
原代单层培养犬的纤维环细胞光镜下的形态为圆形或多角形[6]。Ichimura等[4]报道培养的鼠髓核细胞为多角形,部分细胞内含空泡,培养的纤维环细胞多为梭形及多角形。Shinmei等[7]培养的兔髓核细胞的形态与上述相似。我们培养的椎间盘细胞贴壁后形态亦多为梭形、三角形或多角形。多次传代后脊索细胞及软骨细胞的形状以梭形为主,体现了细胞向成纤维细胞反分化的特性。冻存的细胞复苏后形态及增殖能力未发生改变,说明经过低温冷冻贮存的细胞能较好地保持冷冻前的生物学活性。
, http://www.100md.com
培养椎间盘细胞内线粒体较丰富,是细胞增殖力旺盛的一种重要表现。陈晓亮等[8]观察到动物及人胚椎间盘细胞中线粒体数量较少,提示椎间盘细胞的代谢在体内相对不活跃。我们认为:细胞生存环境的不同及取材的年龄、时间的不同,是引起观察结果不同的主要原因。随传代的增加,细胞内多种细胞器逐渐呈现衰变征象,此说明细胞渐变衰老。
参考文献 1 王民生, 胡有谷, 陈培勋, 等. 正常与退变椎间盘髓核和纤维环中生化成分的研究. 生物化学, 1991, 7:316-320.
2 胡有谷. 腰椎间盘突出症.第2版.北京:人民卫生出版社, 1995.94-95.
3 Ham RG. Clonal growth of mammalian cells in a chemically defined, synthetic medium. Proc Natl Acad Sci USA , 1965, 53:288-293.
, 百拇医药
4 Ichimura K, Tsuji H, Matsui H, et al. Cell culture of the intervertebral disc of rats: factors influencing culture, proteoglycan, collagen, and deoxyribonucleic acid synthesis. J Spinal Disord , 1991, 4:428-436.
5 Maldonado BA, Oegema, TR. Initial characterization of the metabolism of intervertebral disc cells encapsulated in microspheres. J Orthop Res, 1992, 10:677-690.
6 Yoo J, Papay R, Malemud C. Suppression of proteoglycan synthesis in chondrocyte cultures derived from canine intervertebral disc. Spine, 1992,17:221-224.
7 Shinmei M, Kikuchi T, Yamagishi, et al. The role of interleukin-1 on proteoglycan metabolism of rabbit annulus fibrosus cells cultured in vitro. Spine, 1988, 13:1284-1289.
8 陈晓亮, 胡有谷. 腰椎间盘组织的超微结构观察. 中华骨科杂志,1990,10:138-140.
(收稿:1997-12-17 修回:1998-10-12), http://www.100md.com
单位:266003 山东省青岛大学医学院附属医院骨科
关键词:椎间盘;细胞,培养的
中华医学杂志990209 【摘要】 目的 通过对椎间盘细胞的培养,观察细胞的演变,以便更深入地研究椎间盘退变的细胞因素。方法 取3例人体胚胎、1例正常成人的腰椎间盘,在HAM F12加质量分数为10%的灭活胎牛血清培养液中,建立了体外人椎间盘细胞培养模型,并对细胞进行了冻存复苏、光镜及透射电镜观察。结果 (1)原代、次代的椎间盘细胞的生物学性状最接近体内的细胞。随传代次数的增加,脊索细胞及软骨细胞表现出反分化的特性。(2)解冻复苏细胞的形态及代谢能力与冻存前基本相同。(3)椎间盘细胞内细胞器的结构变化与其生物学活性的变化相一致。结论 人体腰椎间盘细胞体外培养的成功,为椎间盘细胞生物学研究及临床药物学实验研究提供了一个体外实验模型。
, http://www.100md.com
Cells culture of human lumbar disc and its morphological observation LIU Yong, HU Yougu, LU Zhenhua. Laboratory of Orthopaedics, Affiliated Hospital of Medical College, Qingdao University, Qingdao 266003
【Abstract】 Objective To observe the continuous changes of disc cells, and explore the degeneration influenced by the cell effects.Methods Three discs were obtained from three human embryoes and one was from a healthy adult. They were dissected and were digested with trypsin and collagenase. The isolated cells were cultured in HAM F-12 medium and 10% fetal bovine serum. The cultured cells were refrigerated and revived for observation under light microscope and TEM. Results The biological characteristics of the primary and the second generation of the disc cells were similar to those of the cells in vivo. After subculture, notochordal cells and chondrocytes were shown the characteristics of dedifferention. The metabolism of the revived cells after refrigeration was normal. The structures of the organellae in disc cells varied with the changes of cell biological characteristics.Conclusion This successful model is useful for the study of biology and pharmacology of human disc cells.
, http://www.100md.com
【Key words】 Intervertebral disc Cells,cultured
(Natl Med J China, 1999, 79:109-111)
腰椎间盘退变是引起腰腿痛的重要原因。其发生机理仍不十分清楚。随着年龄的增长和腰椎间盘的退变,椎间盘的生化成分出现显著改变[1]。目前的研究结果提示:这一变化不仅是椎间盘营养来源匮乏的结果,也可能与椎间盘的生物学特性有关。这一变化的彻底揭示,尚有待于腰椎间盘细胞的细胞生物学研究[2]。为此,我们进行了人胚及正常成人腰椎间盘细胞培养的工作,以探讨椎间盘细胞的生物学行为及影响因素,为今后以分子生物学方法对细胞的基因表达和调控进行研究奠定基础。
对象和方法
一、对象
, http://www.100md.com
采用保胎失败、自然流产胎儿3例,分别为3、4、6个月,流产1 小时内取腰椎间盘。成人27岁1例,脑外伤死亡4小时内取腰椎间盘。
二、方法
例1为4个月胚胎,将整个椎间盘剪碎进行培养,未分离纤维环、髓核及软骨终板。例2为3个月胚胎,分离髓核、软骨终板及纤维环内、外层分别进行培养。其余两例组织分离方法同第2例。将取下的组织分别浸于D-Hanks液中,剪成碎块。于37℃下,以质量分数为0.25%的胰蛋白酶消化髓核20分钟,消化软骨终板及纤维环内、外层30分钟,每5分钟摇动一次。低速离心(800r/min)5分钟,吸除上清液、于36.5℃下用 0.2%的胶原酶静置消化4小时。消化物用4层无菌纱布过滤。细胞用HAM F-12-10%FBS(胎牛血清)培养液冲洗3次,低速离心5分钟。计数板进行细胞计数。将细胞分别接种于培养瓶和培养管中。胚胎细胞以8×106细胞/ml密度进行接种培养。成人椎间盘细胞按104细胞/ml密度接种。在37℃、体积分数为5%CO2的培养箱中培养。每2~3天换一次液,按时用倒置相差显微镜进行观察、拍照。细胞融合为单层时用胰蛋白酶消化以进行细胞传代。分期(12~15天)取出培养管内的盖片,进行Giemsa细胞染色。用橡皮刀刮取不同培养时期的细胞,固定、包埋后,进行超切、染色,在60KV或80KV下行透射电镜观察、拍照。将传至2或3代的部分细胞用胰蛋白酶消化、离心以及吸除上清液后,加入含10%二甲基亚砜(DMSO)的培养液,-1℃/分钟缓慢降温,至-100℃时迅速冻入液氮中。细胞冻存6个月后复苏。
, 百拇医药
结 果
一、光镜观察:
1.例1胚胎椎间盘细胞:24小时后95%以上的细胞贴壁,可清晰分辨出以下三种细胞:胞体略小、多角形的脊索细胞,胞体略大而圆的软骨细胞或软骨样细胞,梭形的纤维样细胞。胞质内可见分泌颗粒,核仁1~3个不等。融合后的细胞多呈梭形,传代后细胞密度减低,形状又变为多角形、星形或梭形。以后每12~14天传一代。4代后细胞分裂、增殖逐渐变慢,胞质中偶见空泡。
2.例2胚胎椎间盘细胞:(1)髓核细胞:10~12小时后95%的细胞贴壁,为胞体较小的脊索细胞,呈多角形,见圆形核,伸出多个伪足,11天左右细胞长满瓶壁。3代后细胞生长明显减慢,胞质内偶见空泡。更多传代后细胞的形状逐渐变为梭形(图1)。(2)软骨终板及纤维环内层细胞:10小时后大部分细胞贴壁生长,为呈椭圆、梭形或多角形的软骨细胞,其胞体较脊索细胞大,伸出伪足,胞质内见分泌颗粒,胞核圆或椭圆形。每13~14天传一代。传至3代后,细胞生长缓慢,15~20天传一代,细胞的形状渐以梭形为主(图2)。(3)纤维环外层细胞:10小时左右大部分细胞贴壁生长,多为呈梭形或多角形、核圆的纤维样细胞,有伪足伸出。9天左右细胞长满瓶壁,每12~13天传一代,3代后细胞传代时间有所延长(图3)。
, http://www.100md.com
3.例3胚胎椎间盘细胞:脊索细胞、软骨细胞及纤维样细胞在原代及次代的形状与上例同种细胞相似,但生长较后者缓慢,3种细胞均15~18天传一代,3代后细胞分裂、增殖速度明显减慢。
4.例4成人椎间盘细胞:细胞贴壁速度较胚胎椎间盘细胞明显减慢,1周后始有部分细胞贴壁。细胞轮廓不如培养的胚胎椎间盘细胞清楚,细胞核呈圆形,2周后细胞贴壁数目增多,但是细胞生长及增殖极为缓慢,呈现相对稳定的生长状态。
5.解冻复苏的细胞:细胞的形态及分裂、增殖能力与冻存前基本相同。
二、透射电镜超微结构观察:
1.脊索细胞:原代细胞多为不规则形,周围伸出许多绒毛状突起,细胞核呈圆形、卵圆形或形态不规则,核仁多偏于细胞核的一侧,常染色质占优势。细胞质内可看到多种细胞器。次代和第3代的细胞内线粒体较上代略有减少,内质网囊池扩张较前代明显,核糖体亦有所减少,胞质内可见散在的溶酶体,少部分细胞胞质内可见脂滴、空泡及微丝(图4~5)。
, http://www.100md.com
图1 次代椎间盘脊索细胞光镜结构Giemsa染色×200
图2 次代椎间盘软骨细胞光镜结构Giemsa染色 ×200
图3 次代椎间盘纤维样细胞光镜结构Giemsa染色 ×200
图4 原代椎间盘脊索细胞超微结构透射电镜P:细胞膜,N:细胞核,Nu:核仁,R:粗面内质网,M:线粒体 ×4000
图5 3代椎间盘脊索细胞超微结构透射电镜V:空泡 Ly:溶酶体 ×6 000
2.软骨细胞:原代细胞呈卵圆形或不规则形。细胞核不规则,核质内常染色质占优势。胞质内线粒体较丰富,向内突出的嵴部分缺如。粗面内质网多为游离的囊泡,上有核糖体附着,部分内质网囊池扩张,初、次级溶酶体散在分布于胞质内。3代细胞核大而不规则,内见1~2个核仁,核多偏于细胞的一侧,胞核内仍为常染色质占优势。线粒体及核糖体较上代略有减少,粗面内质网扩张明显,并可见溶酶体及少量的微丝。
, http://www.100md.com
3.纤维样细胞:原代细胞呈梭形或多角形。细胞核不规则,核仁1~3个不等,常染色质占优势。胞质内线粒体较丰富,粗面内质网囊池部分扩张,溶酶体可有单位膜包绕。高尔基复合体少见。传至3代的大多数细胞常染色质较异染色质多,少部分细胞核内常染色质较异染色质少,核仁染色不明显。胞质内可见线粒体、高度扩张的粗面内质网及微丝。核蛋白体在细胞质中散在分布,初、次级溶酶体较前增加。
4.混合培养的胚胎椎间盘细胞:3代时的细胞形状大小不等。可见脊索细胞,软骨细胞和纤维样细胞,形态同上。传至8代时的细胞大小均匀,呈不规则形或梭形。核仁明显,核内异染色质和常染色质接近均等分布。胞质内线粒体、核糖体明显减少,粗面内质网极度扩张,溶酶体较多,并可见胞质内大的空泡或脂滴。
讨 论
在细胞培养过程中,软骨、纤维样组织细胞的正常生长和增殖受各种因素的影响。细胞于CO2培养箱内,每2~3天换液一次,以观察细胞状态。关于培养基,HAM F12培养基特别适用于单细胞培养[3-5],细胞生长状态良好,能增殖并传代。
, 百拇医药
在细胞培养中的培养基酸碱度一般应为pH 7.4[3]。Ichimura等[4]发现在髓核细胞的培养中,培养液的pH值要求是严格的,最适宜为pH7.0。纤维环细胞生长的pH值则较宽,为pH7.0~7.6,此时细胞均有增殖。在本研究中,将人体的脊索细胞、软骨细胞或软骨样细胞、纤维样细胞的培养基的pH值均保持在7.0~7.4之间,前几代细胞的增殖都较旺盛,髓核细胞和纤维环细胞在pH7.4时的生存活力未见明显的差异性。
原代单层培养犬的纤维环细胞光镜下的形态为圆形或多角形[6]。Ichimura等[4]报道培养的鼠髓核细胞为多角形,部分细胞内含空泡,培养的纤维环细胞多为梭形及多角形。Shinmei等[7]培养的兔髓核细胞的形态与上述相似。我们培养的椎间盘细胞贴壁后形态亦多为梭形、三角形或多角形。多次传代后脊索细胞及软骨细胞的形状以梭形为主,体现了细胞向成纤维细胞反分化的特性。冻存的细胞复苏后形态及增殖能力未发生改变,说明经过低温冷冻贮存的细胞能较好地保持冷冻前的生物学活性。
, http://www.100md.com
培养椎间盘细胞内线粒体较丰富,是细胞增殖力旺盛的一种重要表现。陈晓亮等[8]观察到动物及人胚椎间盘细胞中线粒体数量较少,提示椎间盘细胞的代谢在体内相对不活跃。我们认为:细胞生存环境的不同及取材的年龄、时间的不同,是引起观察结果不同的主要原因。随传代的增加,细胞内多种细胞器逐渐呈现衰变征象,此说明细胞渐变衰老。
参考文献 1 王民生, 胡有谷, 陈培勋, 等. 正常与退变椎间盘髓核和纤维环中生化成分的研究. 生物化学, 1991, 7:316-320.
2 胡有谷. 腰椎间盘突出症.第2版.北京:人民卫生出版社, 1995.94-95.
3 Ham RG. Clonal growth of mammalian cells in a chemically defined, synthetic medium. Proc Natl Acad Sci USA , 1965, 53:288-293.
, 百拇医药
4 Ichimura K, Tsuji H, Matsui H, et al. Cell culture of the intervertebral disc of rats: factors influencing culture, proteoglycan, collagen, and deoxyribonucleic acid synthesis. J Spinal Disord , 1991, 4:428-436.
5 Maldonado BA, Oegema, TR. Initial characterization of the metabolism of intervertebral disc cells encapsulated in microspheres. J Orthop Res, 1992, 10:677-690.
6 Yoo J, Papay R, Malemud C. Suppression of proteoglycan synthesis in chondrocyte cultures derived from canine intervertebral disc. Spine, 1992,17:221-224.
7 Shinmei M, Kikuchi T, Yamagishi, et al. The role of interleukin-1 on proteoglycan metabolism of rabbit annulus fibrosus cells cultured in vitro. Spine, 1988, 13:1284-1289.
8 陈晓亮, 胡有谷. 腰椎间盘组织的超微结构观察. 中华骨科杂志,1990,10:138-140.
(收稿:1997-12-17 修回:1998-10-12), http://www.100md.com