喉癌中HPV感染和p16表达的检测及临床相关性研究
作者:吕春雷 廖建春 萧璧君 范静平
单位:吕春雷 廖建春 萧璧君 范静平(第二军医大学附属长征医院耳鼻咽喉科,上海 200003)
关键词:喉肿瘤;乳头状瘤病毒;人;肿瘤病毒感染;基因;p16;免疫组织化学;原位杂交
临床与实验病理学杂志990502摘要 目的:探讨喉鳞状细胞癌中HPV感染和p16表达的情况及临床相关性。方法:用免疫组化和原位杂交的方法对52例喉鳞癌组织中HPV感染和p16的表达情况进行检测。结果:HPV感染的阳性率为61.54%(32/52),p16的阳性率为44.23%(23/52)。结论:HPV感染与p16的表达有关;HPV感染与临床分期、癌细胞的分化程度、肿瘤的淋巴结转移情况、临床分型无关;p16的表达与癌细胞的分化程度、肿瘤的颈淋巴结转移情况有关,与临床分型、分期无关。
分类号 R739.65; R394.2 文献标识码 A
, http://www.100md.com
文章编号 1001-7399(1999)05-0382-03
The detection of HPV infection, p16 expression in laryngeal squamous cancer and the study of their relationship with clinical cases
L
Chunlei, Liao Jianchun, Xiao Bijun et al
(Dept of ENT, Changzheng Hospital of the Second Military Medical University, Shanghai 200003)
ABSTRACT Purpose To investigate the HPV infection and p16 expression in laryngeal squamous cancer, and to study the relationship between them and clinical features. Methods Fifty-two specimens were detected by immunohistochemical and in situ hybridiration method. Results The positivity rate of HPV infection was 61.54% (32/52), while that of the p16 expression was 44.23%(23/52). Conclusion The infection of HPV has relation to the p16 expression. HPV infection has no relationship with malignant degree, clinical type, clinical stage and lymph node metastasis. p16 expression has relationship with malignant degree and lymphnode metastasis.
, 百拇医药
KEY WORDS laryngeal neoplasms; papillomavirus,human; gens,p16; immunohistochemistry; in situ hybridization
人乳头状瘤病毒(HPV)是人体诸多部位表皮和粘膜的致瘤因子,并参与这些部位恶性肿瘤的发生,HPV是喉粘膜感染的常见病毒,与喉良恶性肿瘤有密切的关系。p16基因是新近发现的抑癌基因(multiple tumor suppressor, MTSI),该基因在多种癌细胞中有缺陷,与癌的发生、发展密切相关。有研究表明,HPV感染可导致p53基因的改变,而HPV感染与p16基因关系的研究尚少。作者通过对喉癌组织中两者的检测,探讨两者的关系及其对肿瘤生物学行为的影响。
1 材料和方法
1.1 标本 收集1995~1998年间我科喉癌的手术标本,经病理证实为喉鳞状细胞癌,其中男41例,女11例,年龄38~77岁。声门上型12例,声门型25例,声门下型15例;临床分期:Ⅰ期23例,Ⅱ~Ⅳ期29例。按细胞分化程度:Ⅰ级19例,Ⅱ~Ⅲ级33例;有颈淋巴结转移者21例,无颈淋巴结转移者31例。以上所有石蜡标本均经10%福尔马林固定、石蜡包埋,作4 μm厚连续切片。新鲜标本则于手术后30 min内无菌取材,4%多聚甲醛固定6 h,25%蔗糖处理24 h,放于5 ml专用无菌的冻存管内,-70℃低温冰箱冷冻保存。石蜡标本42例,新鲜标本10例。
, http://www.100md.com
1.2 试剂 LSAB试剂盒(丹麦Dako公司,K 0682)。鼠抗p16抗体(Santa Cruz公司,SC-1661-02),兔抗HPV抗体(Dako公司,B 0580),兔抗HPV16抗体(上海复华公司,No 1121),兔抗HPV18抗体(上海复华公司,No 1123),B-SAR生物素标记羊抗体(Dako公司)。HPV探针试剂盒(含HPV16、HPV18两种混合探针)、p16探针试剂盒由Santa Cruz公司提供(No CA 93013)。RNA标记试剂盒(Boehringer Mannheim公司,No 1417231)。
1.3 方法和步骤
1.3.1 免疫组化 石蜡切片脱蜡至水,PBS洗3 min;3%H2O2浸泡20 min,PBS洗3×3 min;1%胰蛋白酶消化30 min(37℃)。PBS洗3×3 min;鼠抗p16抗体(1∶100)40℃孵育过夜;测定HPV是用兔抗HPV抗体(1∶50),然后用HPV16、HPV18抗体分别进行检测;PBS洗3×3 min;生物素标记羊抗兔IgG(1∶100)37℃孵育40 min;PBS洗3×3 min。用Streptavidin-HRP(1∶100)37℃孵育30 min;PBS洗3×3 min;加0.05% DAB+0.03%H2O2显色8~15 min,流水洗,苏木精衬染,常规封片。用已知阳性切片作阳性对照。以PBS代替一抗作空白对照,以兔血清代替一抗作阴性对照。42例石蜡标本作免疫组化。
, 百拇医药
1.3.2 原位杂交(TSH流程gene point法) (1)杂交前准备:新鲜冷冻保存的组织,恒冷箱冷冻切片(5 μm厚):4%多聚甲醛固定:100%、95%、85%乙醇脱水2 min;PBS洗;蛋白酶K 1 μg.L-1(37℃)20 min;0.1 mol.L-1甘氨酸、PBS洗2×3 min(终止消化);PBS洗2×5 min;4%多聚甲醛固定5 min;PBS洗后系列乙醇脱水;0.25%乙酰酐约0.1 mol.L-1、三乙醇胺液(pH8.0)10 min、PBS洗2×5 min。(2)杂交:杂交液中内含cRNA-b探针2 μg.L-1(48℃ 2×5 min)杂交8 h;每片10~20 μl杂交液;以PBS代替杂交液作阴性对照;用覆盖膜防止液体蒸发,湿盒内加少量的甲酰胺。(3)杂交后洗脱:50%甲酰胺洗5 min(45℃);2×SSC洗2×5 min(45℃);1×SSC洗2×5 min;0.5×SSC洗2×5 min;0.05 mol.L-1(pH8.0)TBS洗5 min;3%H2O2抑制内源性过氧化物酶30 min(室温);PBS洗3×3 min。(4)信号放大检测:Streptavidin-HRP 1∶500(37℃ 20 min);PBS洗3×3 min;生物素化酪胺分子1∶500(37℃ 20 min);PBS洗3××3 min;Streptavidin-HRP 1∶1 000(37℃ 30 min);PBS洗3×5 min;0.05%DAB(3',3-二氨基联苯胺盐酸盐)+0.03%H2O2显色8~12 min;水洗后苏木精衬染;常规树脂封片。10例新鲜标本用原位杂交检测。
, http://www.100md.com
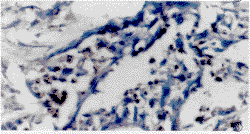
1.4 阳性标准 免疫组化阳性信号显示棕色颗粒,p16阳性染色主要位于细胞质内和细胞膜上(图1),HPV阳性主要位于细胞核及核周(图2)。原位杂交阳性信号显示棕色颗粒,p16阳性(图3),HPV阳性(图4)。结果判断:阳性细胞<10%为-,阳性细胞10%~60%为+,阳性细胞>60%为,为便于统计,+、记为+。采用χ2检验统计学处理。
图1 喉癌细胞质、细胞膜上p16呈棕黄色阳性染色。LASB×400
图2 喉癌细胞核及核周 HPV 呈棕黄色阳性染色。LASB×400
图3 喉癌细胞质、细胞膜上p16呈棕黄色阳性染色。原位杂交×400
, 百拇医药
图4 喉癌细胞核及核周 HPV 呈棕黄色阳性染色。原位杂交×400
2 结果
p16免疫组化检测20例阳性(20/42),原位杂交3例阳性(3/10),总阳性率为44.23%(23/52);HPV感染:免疫组化检测28例阳性,原位杂交4例阳性,其总的阳性率为61.54%(32/52),所有HPV感染阳性的切片免疫组化分型检测,其中HPV16占17.31%,HPV18占21.15%,双重感染(HPV16、HPV18均阳性)占3.85%。
2.1 HPV感染与p16表达的关系(表1) 在33例HPV感染阳性的病例中,p16阳性占9例,而在19例HPV感染阴性的病例中p16阳性占14例,经统计学处理(P<0.05)两者差异有显著性。
表1 HPV感染与p16表达之间的关系 HPV感染
, http://www.100md.com
n
p16表达
阳性率(%)
+
-
阳性
33
9
24
27.27
阴性
19
14
, http://www.100md.com 5
73.68
合计
52
23
29
2.2 HPV感染、p16表达与临床分型之间的关系(表2) 经统计学处理,HPV感染、p16表达与临床分型无关。
表2 HPV感染、p16表达与临床分型之间的关系 分 型
n
HPV
p16
+
, 百拇医药
%
+
%
声门上型
12
7
58.33
5
41.67
声门型
25
15
60.00
, http://www.100md.com 11
44.00
声门下型
15
10
66.67
7
46.67
各型之间两两相比:P均>0.05
2.3 HPV感染、p16表达与临床分期之间的关系(表3) 经统计学处理,HPV感染与临床分期无关(P>0.05),p16表达与临床分期无关(P>0.05)。
表3 HPV感染、p16表达与临床分期之间的关系 分 型
, 百拇医药
n
HPV
p16
+
%
+
%
Ⅰ期
23
13
56.52
8
34.78
Ⅱ~Ⅳ期
, 百拇医药
29
19
65.52
15
51.72
2.4 HPV感染、p16表达与分化程度之间的关系(表4) 经统计学处理,HPV感染与分化程度无关(P>0.05),而p16表达与分化程度有关(P<0.05)。
表4 HPV感染、p16表达与分化程度之间的关系 分化程度
n
HPV
p16
+
, 百拇医药
%
+
%
Ⅰ级
19
11
57.89
13
68.42
Ⅱ~Ⅳ级
33
21
63.64
, 百拇医药 10
30.30
2.5 HPV感染、p16表达与颈淋巴结转移之间的关系(表5) 经统计学处理,HPV感染与颈淋巴结转移无关(P>0.05),而p16表达与颈淋巴结转移有关(P<0.05)。
表5 HPV感染、p16表达与颈淋巴结转移之间的关系 颈淋巴结
转移
n
HPV
p16
+
%
+
, 百拇医药
%
有
21
12
57.14
4
19.05
无
31
20
64.52
19
61.29
, http://www.100md.com 3 讨论
研究发现HPV有60多种型别,其分型主要依靠核酸杂交的方法。HPV进入缩主细胞后不断刺激细胞增殖,病毒在宿主细胞内以3种形式存在:(1)完整的病毒颗粒;(2)游离的DNA;(3)与宿主细胞DNA结合。按目前的划分,HPV可分为高危组(HPV16,18)及低危组(HPV6,11),高危组主要通过病毒的DNA整合入宿主细胞基因组而产生致癌作用,低危组则无此作用。HPV DNA整合于宿主细胞的染色体上,改变了宿主细胞的遗传性状构成了癌变的基础〔1,2〕。我们通过检测发现52例喉癌标本中,HPV总的阳性率为61.54%(32/52)。其中HPV16占17.31%,HPV18占21.15%,双重感染(HPV16、HPV18%均阳性)占3.85%。结合标本临床资料发现,HPV感染与喉癌的临床分型、分期、细胞分化程度、颈淋巴结转移等无明显关系,据此,我们认为喉癌的发生过程中,HPV感染可能为触发因素之一,它可导致肿瘤的形成,但对肿瘤的生物学行为影响不大。
, http://www.100md.com
p16是美国冷泉港实验室于最近几年发现的新的抑癌基因,该基因在多种癌细胞中有缺陷,与癌的发生关系密切,因此又称为多种肿瘤抑制物Ⅰ(multiple tumor suppressor Ⅰ, MTS 1)基因〔3〕。p16的抑癌作用在于它抑制了细胞从G1→S期的转变过程中起关键作用的CDK4的功能,如果p16基因缺失或突变,可导致细胞过度增殖,使在G1期未充分发育的细胞提前进入S期,导致肿瘤的发生。本组资料中p16的阳性率为44.23%(23/52),结合临床资料发现它与喉肿瘤的细胞分化程度有关,与喉肿瘤的淋巴结转移有关。细胞分化好的p16阳性率明显高于细胞分化差的,无颈淋巴结转移的其阳性率明显高于有颈淋巴结转移,在恶性程度高、有颈淋巴结转移组中p16突变率较高。因此,我们认为在喉癌中p16基因很可能是具有重要意义的抑癌基因,并且在判断喉癌恶性程度及估计预后上起重要作用。
Werness等〔4〕研究表明,HPV16/18的E6蛋白能与p53蛋白结合,这种结合在体内可能引起细胞调节功能变化,造成p53失活并发生细胞的转化和增殖。现已证明,HPV DNA在良性或癌前病变组织中通常位于染色体外,而在恶性肿瘤细胞内则常与染色体结合在一起,即将病毒基因整合于宿主细胞基因中,尤其易整合在有断裂倾向的脆性部位,导致宿主细胞染色体发生畸变〔5〕,如缺失、重复、易位等,从而改变了细胞原来正常的遗传特征,使其获得新的遗传特征,发生癌变。另外,病毒通常整合的部位位于原癌基因附近或与原癌基因位置相同,这就可能激活细胞原癌基因或使抑癌基因失去正常功能。我们从实验中可以看出HPV感染影响了p16的阳性表达,在HPV感染阳性的病例中,p16的阳性率明显低于HPV感染阴性的病例。HPV的感染与p16改变的分子生物学依据是什么?两者有无必然的联系,是否由于HPV DNA在喉癌细胞染色体上的整合而引起了p16基因的突变或缺失?目前尚无这方面的报道,我们考虑可能由于HPV DNA在喉癌细胞染色体上的整合而引起了p16基因的变化,有待进一步实验证实。
, 百拇医药
基金项目:国家自然科学基金资助项目(No 39770792)
作者简介:吕春雷,男,32岁,硕士,主治医师
廖建春,男,37岁,副教授,硕士生导师。研究方向:头颈肿瘤外科及喉癌病因学
参考文献
1,Perez-Ayala M, Ruiz-Cabello E, Esteban F et al. Presence of HPV16 sequences in laryngeal carcinomas. Int J Cancer, 1990;46:8
2,Morgan DW, Abdulla HV, Quiney R et al. Human papilloma virus and carcinoma of the laryngopharynx. J Laryngol Otol, 1991;105:288
, 百拇医药
3,Serrano M, Gregory J, Beach HD. A new regulatory motify in cell cyclecontrot causing specific inhibition of cyclin D/cdk4. Nature, 1993;366:704
4,Werness BA, Levine AJ, Howely PM. Association of human papilloma virus type 16 and 18 E6 protein with p53. Science, 1990;248:76
5,Popeacu NC, Zimonjie D, Dipalo JA. Viral integration frgile sites and proto oncogenes in human neoplasia. Hum Genet, 1990;84:383
(图片见插页第56页)
收稿日期:1999-01-04
修回日期:1999-04-14, 百拇医药
单位:吕春雷 廖建春 萧璧君 范静平(第二军医大学附属长征医院耳鼻咽喉科,上海 200003)
关键词:喉肿瘤;乳头状瘤病毒;人;肿瘤病毒感染;基因;p16;免疫组织化学;原位杂交
临床与实验病理学杂志990502摘要 目的:探讨喉鳞状细胞癌中HPV感染和p16表达的情况及临床相关性。方法:用免疫组化和原位杂交的方法对52例喉鳞癌组织中HPV感染和p16的表达情况进行检测。结果:HPV感染的阳性率为61.54%(32/52),p16的阳性率为44.23%(23/52)。结论:HPV感染与p16的表达有关;HPV感染与临床分期、癌细胞的分化程度、肿瘤的淋巴结转移情况、临床分型无关;p16的表达与癌细胞的分化程度、肿瘤的颈淋巴结转移情况有关,与临床分型、分期无关。
分类号 R739.65; R394.2 文献标识码 A
, http://www.100md.com
文章编号 1001-7399(1999)05-0382-03
The detection of HPV infection, p16 expression in laryngeal squamous cancer and the study of their relationship with clinical cases
L
(Dept of ENT, Changzheng Hospital of the Second Military Medical University, Shanghai 200003)
ABSTRACT Purpose To investigate the HPV infection and p16 expression in laryngeal squamous cancer, and to study the relationship between them and clinical features. Methods Fifty-two specimens were detected by immunohistochemical and in situ hybridiration method. Results The positivity rate of HPV infection was 61.54% (32/52), while that of the p16 expression was 44.23%(23/52). Conclusion The infection of HPV has relation to the p16 expression. HPV infection has no relationship with malignant degree, clinical type, clinical stage and lymph node metastasis. p16 expression has relationship with malignant degree and lymphnode metastasis.
, 百拇医药
KEY WORDS laryngeal neoplasms; papillomavirus,human; gens,p16; immunohistochemistry; in situ hybridization
人乳头状瘤病毒(HPV)是人体诸多部位表皮和粘膜的致瘤因子,并参与这些部位恶性肿瘤的发生,HPV是喉粘膜感染的常见病毒,与喉良恶性肿瘤有密切的关系。p16基因是新近发现的抑癌基因(multiple tumor suppressor, MTSI),该基因在多种癌细胞中有缺陷,与癌的发生、发展密切相关。有研究表明,HPV感染可导致p53基因的改变,而HPV感染与p16基因关系的研究尚少。作者通过对喉癌组织中两者的检测,探讨两者的关系及其对肿瘤生物学行为的影响。
1 材料和方法
1.1 标本 收集1995~1998年间我科喉癌的手术标本,经病理证实为喉鳞状细胞癌,其中男41例,女11例,年龄38~77岁。声门上型12例,声门型25例,声门下型15例;临床分期:Ⅰ期23例,Ⅱ~Ⅳ期29例。按细胞分化程度:Ⅰ级19例,Ⅱ~Ⅲ级33例;有颈淋巴结转移者21例,无颈淋巴结转移者31例。以上所有石蜡标本均经10%福尔马林固定、石蜡包埋,作4 μm厚连续切片。新鲜标本则于手术后30 min内无菌取材,4%多聚甲醛固定6 h,25%蔗糖处理24 h,放于5 ml专用无菌的冻存管内,-70℃低温冰箱冷冻保存。石蜡标本42例,新鲜标本10例。
, http://www.100md.com
1.2 试剂 LSAB试剂盒(丹麦Dako公司,K 0682)。鼠抗p16抗体(Santa Cruz公司,SC-1661-02),兔抗HPV抗体(Dako公司,B 0580),兔抗HPV16抗体(上海复华公司,No 1121),兔抗HPV18抗体(上海复华公司,No 1123),B-SAR生物素标记羊抗体(Dako公司)。HPV探针试剂盒(含HPV16、HPV18两种混合探针)、p16探针试剂盒由Santa Cruz公司提供(No CA 93013)。RNA标记试剂盒(Boehringer Mannheim公司,No 1417231)。
1.3 方法和步骤
1.3.1 免疫组化 石蜡切片脱蜡至水,PBS洗3 min;3%H2O2浸泡20 min,PBS洗3×3 min;1%胰蛋白酶消化30 min(37℃)。PBS洗3×3 min;鼠抗p16抗体(1∶100)40℃孵育过夜;测定HPV是用兔抗HPV抗体(1∶50),然后用HPV16、HPV18抗体分别进行检测;PBS洗3×3 min;生物素标记羊抗兔IgG(1∶100)37℃孵育40 min;PBS洗3×3 min。用Streptavidin-HRP(1∶100)37℃孵育30 min;PBS洗3×3 min;加0.05% DAB+0.03%H2O2显色8~15 min,流水洗,苏木精衬染,常规封片。用已知阳性切片作阳性对照。以PBS代替一抗作空白对照,以兔血清代替一抗作阴性对照。42例石蜡标本作免疫组化。
, 百拇医药
1.3.2 原位杂交(TSH流程gene point法) (1)杂交前准备:新鲜冷冻保存的组织,恒冷箱冷冻切片(5 μm厚):4%多聚甲醛固定:100%、95%、85%乙醇脱水2 min;PBS洗;蛋白酶K 1 μg.L-1(37℃)20 min;0.1 mol.L-1甘氨酸、PBS洗2×3 min(终止消化);PBS洗2×5 min;4%多聚甲醛固定5 min;PBS洗后系列乙醇脱水;0.25%乙酰酐约0.1 mol.L-1、三乙醇胺液(pH8.0)10 min、PBS洗2×5 min。(2)杂交:杂交液中内含cRNA-b探针2 μg.L-1(48℃ 2×5 min)杂交8 h;每片10~20 μl杂交液;以PBS代替杂交液作阴性对照;用覆盖膜防止液体蒸发,湿盒内加少量的甲酰胺。(3)杂交后洗脱:50%甲酰胺洗5 min(45℃);2×SSC洗2×5 min(45℃);1×SSC洗2×5 min;0.5×SSC洗2×5 min;0.05 mol.L-1(pH8.0)TBS洗5 min;3%H2O2抑制内源性过氧化物酶30 min(室温);PBS洗3×3 min。(4)信号放大检测:Streptavidin-HRP 1∶500(37℃ 20 min);PBS洗3×3 min;生物素化酪胺分子1∶500(37℃ 20 min);PBS洗3××3 min;Streptavidin-HRP 1∶1 000(37℃ 30 min);PBS洗3×5 min;0.05%DAB(3',3-二氨基联苯胺盐酸盐)+0.03%H2O2显色8~12 min;水洗后苏木精衬染;常规树脂封片。10例新鲜标本用原位杂交检测。
, http://www.100md.com
1.4 阳性标准 免疫组化阳性信号显示棕色颗粒,p16阳性染色主要位于细胞质内和细胞膜上(图1),HPV阳性主要位于细胞核及核周(图2)。原位杂交阳性信号显示棕色颗粒,p16阳性(图3),HPV阳性(图4)。结果判断:阳性细胞<10%为-,阳性细胞10%~60%为+,阳性细胞>60%为,为便于统计,+、记为+。采用χ2检验统计学处理。
图1 喉癌细胞质、细胞膜上p16呈棕黄色阳性染色。LASB×400
图2 喉癌细胞核及核周 HPV 呈棕黄色阳性染色。LASB×400
图3 喉癌细胞质、细胞膜上p16呈棕黄色阳性染色。原位杂交×400
, 百拇医药
图4 喉癌细胞核及核周 HPV 呈棕黄色阳性染色。原位杂交×400
2 结果
p16免疫组化检测20例阳性(20/42),原位杂交3例阳性(3/10),总阳性率为44.23%(23/52);HPV感染:免疫组化检测28例阳性,原位杂交4例阳性,其总的阳性率为61.54%(32/52),所有HPV感染阳性的切片免疫组化分型检测,其中HPV16占17.31%,HPV18占21.15%,双重感染(HPV16、HPV18均阳性)占3.85%。
2.1 HPV感染与p16表达的关系(表1) 在33例HPV感染阳性的病例中,p16阳性占9例,而在19例HPV感染阴性的病例中p16阳性占14例,经统计学处理(P<0.05)两者差异有显著性。
表1 HPV感染与p16表达之间的关系 HPV感染
, http://www.100md.com
n
p16表达
阳性率(%)
+
-
阳性
33
9
24
27.27
阴性
19
14
, http://www.100md.com 5
73.68
合计
52
23
29
2.2 HPV感染、p16表达与临床分型之间的关系(表2) 经统计学处理,HPV感染、p16表达与临床分型无关。
表2 HPV感染、p16表达与临床分型之间的关系 分 型
n
HPV
p16
+
, 百拇医药
%
+
%
声门上型
12
7
58.33
5
41.67
声门型
25
15
60.00
, http://www.100md.com 11
44.00
声门下型
15
10
66.67
7
46.67
各型之间两两相比:P均>0.05
2.3 HPV感染、p16表达与临床分期之间的关系(表3) 经统计学处理,HPV感染与临床分期无关(P>0.05),p16表达与临床分期无关(P>0.05)。
表3 HPV感染、p16表达与临床分期之间的关系 分 型
, 百拇医药
n
HPV
p16
+
%
+
%
Ⅰ期
23
13
56.52
8
34.78
Ⅱ~Ⅳ期
, 百拇医药
29
19
65.52
15
51.72
2.4 HPV感染、p16表达与分化程度之间的关系(表4) 经统计学处理,HPV感染与分化程度无关(P>0.05),而p16表达与分化程度有关(P<0.05)。
表4 HPV感染、p16表达与分化程度之间的关系 分化程度
n
HPV
p16
+
, 百拇医药
%
+
%
Ⅰ级
19
11
57.89
13
68.42
Ⅱ~Ⅳ级
33
21
63.64
, 百拇医药 10
30.30
2.5 HPV感染、p16表达与颈淋巴结转移之间的关系(表5) 经统计学处理,HPV感染与颈淋巴结转移无关(P>0.05),而p16表达与颈淋巴结转移有关(P<0.05)。
表5 HPV感染、p16表达与颈淋巴结转移之间的关系 颈淋巴结
转移
n
HPV
p16
+
%
+
, 百拇医药
%
有
21
12
57.14
4
19.05
无
31
20
64.52
19
61.29
, http://www.100md.com 3 讨论
研究发现HPV有60多种型别,其分型主要依靠核酸杂交的方法。HPV进入缩主细胞后不断刺激细胞增殖,病毒在宿主细胞内以3种形式存在:(1)完整的病毒颗粒;(2)游离的DNA;(3)与宿主细胞DNA结合。按目前的划分,HPV可分为高危组(HPV16,18)及低危组(HPV6,11),高危组主要通过病毒的DNA整合入宿主细胞基因组而产生致癌作用,低危组则无此作用。HPV DNA整合于宿主细胞的染色体上,改变了宿主细胞的遗传性状构成了癌变的基础〔1,2〕。我们通过检测发现52例喉癌标本中,HPV总的阳性率为61.54%(32/52)。其中HPV16占17.31%,HPV18占21.15%,双重感染(HPV16、HPV18%均阳性)占3.85%。结合标本临床资料发现,HPV感染与喉癌的临床分型、分期、细胞分化程度、颈淋巴结转移等无明显关系,据此,我们认为喉癌的发生过程中,HPV感染可能为触发因素之一,它可导致肿瘤的形成,但对肿瘤的生物学行为影响不大。
, http://www.100md.com
p16是美国冷泉港实验室于最近几年发现的新的抑癌基因,该基因在多种癌细胞中有缺陷,与癌的发生关系密切,因此又称为多种肿瘤抑制物Ⅰ(multiple tumor suppressor Ⅰ, MTS 1)基因〔3〕。p16的抑癌作用在于它抑制了细胞从G1→S期的转变过程中起关键作用的CDK4的功能,如果p16基因缺失或突变,可导致细胞过度增殖,使在G1期未充分发育的细胞提前进入S期,导致肿瘤的发生。本组资料中p16的阳性率为44.23%(23/52),结合临床资料发现它与喉肿瘤的细胞分化程度有关,与喉肿瘤的淋巴结转移有关。细胞分化好的p16阳性率明显高于细胞分化差的,无颈淋巴结转移的其阳性率明显高于有颈淋巴结转移,在恶性程度高、有颈淋巴结转移组中p16突变率较高。因此,我们认为在喉癌中p16基因很可能是具有重要意义的抑癌基因,并且在判断喉癌恶性程度及估计预后上起重要作用。
Werness等〔4〕研究表明,HPV16/18的E6蛋白能与p53蛋白结合,这种结合在体内可能引起细胞调节功能变化,造成p53失活并发生细胞的转化和增殖。现已证明,HPV DNA在良性或癌前病变组织中通常位于染色体外,而在恶性肿瘤细胞内则常与染色体结合在一起,即将病毒基因整合于宿主细胞基因中,尤其易整合在有断裂倾向的脆性部位,导致宿主细胞染色体发生畸变〔5〕,如缺失、重复、易位等,从而改变了细胞原来正常的遗传特征,使其获得新的遗传特征,发生癌变。另外,病毒通常整合的部位位于原癌基因附近或与原癌基因位置相同,这就可能激活细胞原癌基因或使抑癌基因失去正常功能。我们从实验中可以看出HPV感染影响了p16的阳性表达,在HPV感染阳性的病例中,p16的阳性率明显低于HPV感染阴性的病例。HPV的感染与p16改变的分子生物学依据是什么?两者有无必然的联系,是否由于HPV DNA在喉癌细胞染色体上的整合而引起了p16基因的突变或缺失?目前尚无这方面的报道,我们考虑可能由于HPV DNA在喉癌细胞染色体上的整合而引起了p16基因的变化,有待进一步实验证实。
, 百拇医药
基金项目:国家自然科学基金资助项目(No 39770792)
作者简介:吕春雷,男,32岁,硕士,主治医师
廖建春,男,37岁,副教授,硕士生导师。研究方向:头颈肿瘤外科及喉癌病因学
参考文献
1,Perez-Ayala M, Ruiz-Cabello E, Esteban F et al. Presence of HPV16 sequences in laryngeal carcinomas. Int J Cancer, 1990;46:8
2,Morgan DW, Abdulla HV, Quiney R et al. Human papilloma virus and carcinoma of the laryngopharynx. J Laryngol Otol, 1991;105:288
, 百拇医药
3,Serrano M, Gregory J, Beach HD. A new regulatory motify in cell cyclecontrot causing specific inhibition of cyclin D/cdk4. Nature, 1993;366:704
4,Werness BA, Levine AJ, Howely PM. Association of human papilloma virus type 16 and 18 E6 protein with p53. Science, 1990;248:76
5,Popeacu NC, Zimonjie D, Dipalo JA. Viral integration frgile sites and proto oncogenes in human neoplasia. Hum Genet, 1990;84:383
(图片见插页第56页)
收稿日期:1999-01-04
修回日期:1999-04-14, 百拇医药