肝胆管囊腺癌CT报告一例
作者:马志习
单位:马志习(816000 青海省格尔木市解放军22医院放射科)
关键词:
临床放射学杂志001029 肝胆管囊腺癌是肝内罕见占位病变,笔者遇见1例,报告如下。
患者 男,42岁。因上腹胀1年,加重伴乏力食欲不振20天,突发高热39℃入院。患病以来无腹痛及皮肤黄染,既往有乙肝病史。
B超示“肝内有巨大囊性病变”。B超引导穿刺引流出胆汁3000ml,临床初步诊断为Caroli病恶变。实验室检查:谷丙转氨酶(ALT)146IU/L,谷草转氨酶(AST)107IU/L。
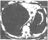
CT示:肝内见一巨大类圆形肿块,直径大小约16.5cm,边界尚清晰。其内以囊性为主,囊壁有乳头状实性突起及少量实性分隔(图1)。增强扫描见纤维间隔有强化(图2)。
图1 肝内一巨大类圆形肿块,边界尚清晰,其内以囊性为主,囊壁有乳头状突起及少量实性分隔
图2 增强扫描,纤维分隔有强化
术中见肝右叶有一巨大囊腔,内为黄色胆汁及凝血块和坏死组织,囊腔内侧有多个小囊腔,其内夹杂有“鱼肉”样组织。病理检查:(肝右叶)纤维结缔组织增生,其间有成片团状排列肝细胞,部分肝细胞退变,伴坏死及慢性炎细胞浸润,形成不规则囊腔,部分区域囊壁可见单层柱状上皮被覆或呈乳头状排列,局部可见大量薄壁血管,腔内充满红细胞。诊断:肝胆管囊腺癌,腺上皮轻度增生。
讨论 肝胆管囊腺癌起源于肝内一、二级胆管或更大胆管上皮细胞的一种特殊类型,根据病理组织类型,可分为含有卵巢基质和无卵巢基质2个亚型,前者多为囊腺瘤演变而来,预后较好,仅见于女性;后者与囊腺瘤无关,可见于女性和男性,恶性程度高,预后较差。囊液可为血性、胆汁性或混合性。本病CT平扫时其囊壁厚薄不均或有壁结节及纤维间隔,增强扫描壁结节及纤维间隔有强化。鉴别诊断主要包括:(1)囊性肝癌:其周围有卫星结节灶,病灶周边显示“晕圈征”,常合并肝硬化,临床HBsAg和AFP阳性。(2)肝包虫病:内外囊部分分离,显示“双边征”,内囊完全分离呈“水百合花征”或呈“飘带状”,囊壁常有弧形或蛋壳状钙化,无明确壁结节。(3)Caroli病恶变:邻近胆管呈囊样扩张,而本病仅见远端胆管扩张,而范围较局限,并有壁结节。
(收稿:2000-01-19), http://www.100md.com
单位:马志习(816000 青海省格尔木市解放军22医院放射科)
关键词:
临床放射学杂志001029 肝胆管囊腺癌是肝内罕见占位病变,笔者遇见1例,报告如下。
患者 男,42岁。因上腹胀1年,加重伴乏力食欲不振20天,突发高热39℃入院。患病以来无腹痛及皮肤黄染,既往有乙肝病史。
B超示“肝内有巨大囊性病变”。B超引导穿刺引流出胆汁3000ml,临床初步诊断为Caroli病恶变。实验室检查:谷丙转氨酶(ALT)146IU/L,谷草转氨酶(AST)107IU/L。
CT示:肝内见一巨大类圆形肿块,直径大小约16.5cm,边界尚清晰。其内以囊性为主,囊壁有乳头状实性突起及少量实性分隔(图1)。增强扫描见纤维间隔有强化(图2)。
图1 肝内一巨大类圆形肿块,边界尚清晰,其内以囊性为主,囊壁有乳头状突起及少量实性分隔
图2 增强扫描,纤维分隔有强化
术中见肝右叶有一巨大囊腔,内为黄色胆汁及凝血块和坏死组织,囊腔内侧有多个小囊腔,其内夹杂有“鱼肉”样组织。病理检查:(肝右叶)纤维结缔组织增生,其间有成片团状排列肝细胞,部分肝细胞退变,伴坏死及慢性炎细胞浸润,形成不规则囊腔,部分区域囊壁可见单层柱状上皮被覆或呈乳头状排列,局部可见大量薄壁血管,腔内充满红细胞。诊断:肝胆管囊腺癌,腺上皮轻度增生。
讨论 肝胆管囊腺癌起源于肝内一、二级胆管或更大胆管上皮细胞的一种特殊类型,根据病理组织类型,可分为含有卵巢基质和无卵巢基质2个亚型,前者多为囊腺瘤演变而来,预后较好,仅见于女性;后者与囊腺瘤无关,可见于女性和男性,恶性程度高,预后较差。囊液可为血性、胆汁性或混合性。本病CT平扫时其囊壁厚薄不均或有壁结节及纤维间隔,增强扫描壁结节及纤维间隔有强化。鉴别诊断主要包括:(1)囊性肝癌:其周围有卫星结节灶,病灶周边显示“晕圈征”,常合并肝硬化,临床HBsAg和AFP阳性。(2)肝包虫病:内外囊部分分离,显示“双边征”,内囊完全分离呈“水百合花征”或呈“飘带状”,囊壁常有弧形或蛋壳状钙化,无明确壁结节。(3)Caroli病恶变:邻近胆管呈囊样扩张,而本病仅见远端胆管扩张,而范围较局限,并有壁结节。
(收稿:2000-01-19), http://www.100md.com