周围神经鞘瘤CT诊断与病理分析
http://www.100md.com
37c医学网
作者:王晓琪 张雪林 陈燕萍 柴青芬 刘杏元
单位:第一军医大学南方医院影像中心,广东 广州 510515
关键词:神经鞘瘤;体层摄影术;X线计算机
中国临床医学影像杂志000404
[摘要] 目的:分析周围神经鞘瘤的CT表现,探讨其CT征象与病理组织学关系。材料与方法:报告57例经手术病理证实,CT资料完整的神经鞘瘤。其中椎管内24例,颈部6例,纵隔10例,腹部11例,臂丛4例,胸壁2例。结果:除部分椎管内神经鞘瘤CT表现软组织肿块不明显外,其余部位的神经鞘瘤CT平扫为等于、略低于或低于肌肉密度的软组织肿块影,边缘光滑,密度均匀或不均匀,增强扫描呈不均匀强化,其病理因素有:①肿瘤细胞外液丰富,含水量高。②细胞排列稀疏,间质成分及粘液成分多。③肿瘤包膜完整。④肿瘤出血,坏死,囊变。结论:神经鞘瘤具有沿神经分布,低于肌肉密度并不均匀强化的特点,有助于与其他软组织肿瘤鉴别。神经鞘瘤的CT征象缺乏特异性时,确诊需靠病理诊断。
, http://www.100md.com
[中图分类号]R739.43 [文献标识码]A
[文章编号]1008-1062(2000)04-0237-04
CT diagnosis and histologic findings of peripheral neurilemoma
WANG Xiao-qi,ZHANG Xue-lin,CHEN Yan-ping,CAI Qing fen,LIU Xing-yuan
(Imaging Diagnostic Center,Nanfang Hospital,The First Military Medical University,Guangzhou 510515,China)
Abstract:Objective:To analyze the CT features of peripheral neurilemoma and the relationship between CT features and pathological findings.Materials and Methods:57 cases of neurilemoma proved surgically were reviewed.The sites of the tumor were intravertebral canal(24 cases),cervical region(6 cases),mediastinum(10 cases),abdomen(11 cases),bronchia plexus(4 cases)and chest wall(2 cases) Results:The neurilemoma of intraspinal canal didn't show definite soft tissue mass.All the neurilemomas in other aver demonstrated isodense or mild hypotenuse masses on plain CT scan,with well- defined marge,homogeneous or heterogeneous attenuation.After contrast the lesions showed inhomogeneous enhancement.The corresponding pathological findings related to the CT features were:① Full of extracellular fluid and water.② Loosely arranged cells with more interstitial and myxoid tissue.③ The lesions were usually well encapsulated.④ Bleeding,necrosis and cystic changes within the lesions.Conclusion:Although the CT features of neurilemoma didn't have specificity,the exact diagnosis depended on the histopathology,on the other hand,neurilemoma had the characteristics of along the nerve distribution,hypodensity and inhomogeneous enhancement on CT scan,which can help to distinguish it from other soft- tissue tumors.
, 百拇医药
Key words:neurilemoma;tomography,X- ray computed
周围神经鞘瘤特别是椎管内神经鞘瘤的MR表现及病理组织学特征已有较详细报道[1-3],但颅神经以外的神经鞘瘤CT征象与病理分析较少见,我们回顾分析我院1992年-1998年经手术病理证实,CT检查资料完整的神经鞘瘤57例(颅神经鞘瘤除外),以探讨周围神经鞘瘤的CT表现和病理组织学关系。
1 材料与方法
1.1 一般资料
57例中,男性34例,女性23例,年龄16~74岁,平均年龄43.3岁。其中30~50岁42人,占73.7%。发生于椎管内24例,颈部6例,纵隔10例,腹部11例,臂丛神经4例,胸壁2例。病理诊断恶性神经鞘瘤14例,占24.5%。
, http://www.100md.com
1.2 临床表现
肿瘤发生部位不同,临床症状和体征不一,椎管内神经鞘瘤易压迫脊神经,故出现症状较早也较重,24例病人均有不同程度的肢体疼痛,麻木。伴进行性感觉丧失,肌力减退,感觉异常,出现走蚁感(4人),病程长者肌肉萎缩。6例颈部肿瘤均以无痛性肿块就诊,仅2例伴轻度头颈部不适。位于纵隔的神经鞘瘤除两例有轻度咳嗽,发热外,其余均无明确症状和体征,10例中有8例是体检时无意中发现。腹部神经鞘瘤大部分为无痛性肿块,发现时已较大,侵及、压迫周围组织出现压迫刺激症状。4例臂丛神经鞘瘤是以无痛性肿块就诊,压之轻痛并向同侧手臂放射。
2 结果
57例病人均采用西门子SOMATOMPLUS全身CT机对病变部位轴位扫描,层厚5mm~10mm,32例病人注入Angiografin80ml行增强扫描。肿瘤的发病部位、大小、边缘、密度及增强情况见表1。
, 百拇医药
椎管肿瘤24例,以颈胸段为多(16/22),位于髓外硬膜内16例,髓外硬膜外8例。大部分椎管内神经鞘瘤肿物边界显示不清,CT表现为界线不清之软组织密度影,有的见神经根增粗,呈圆形软组织密度或表现为蛛网膜腔增宽扩大,脊髓向一侧移位(图1、2),5例见椎体骨质吸收,椎间孔扩大。
表1 55例神经鞘瘤发病部位及大体病理所见 位
例数
大小(cm)
边缘
密度
增强
1~2
2.1~5
, http://www.100md.com
5.1~10
>10
光滑
不光滑
均匀
不均匀
强化
不强化
椎管
24
6
8
0
0
, http://www.100md.com
11
3
6
8
9
0
颈部
6
2
4
0
0
5
1
, 百拇医药
4
2
6
0
纵隔
10
0
5
5
0
10
0
8
2
, http://www.100md.com
4
1
腹部
11
0
0
6
5
9
2
4
7
7
1
, 百拇医药
臂丛
4
0
3
1
0
4
0
3
1
1
1
胸壁
2
, http://www.100md.com
1
0
0
1
2
0
1
1
2
0
合计
57
9
20
, 百拇医药
12
6
41
6
26
21
29
3
注:57例中有25例未做增强扫描,椎管肿瘤有10例未见明确软组织肿块表2 55例神经鞘瘤发病部位及大体病理所见 部位
例数
包膜
大小(cm)
, 百拇医药
切面
完整
不完整
1~2
2.1~4
5.1~10
>10
实性
囊性
椎管
24
17
7
, 百拇医药 12
11
1
0
20
4
颈部
6
5
1
2
4
0
0
, 百拇医药
6
0
纵隔
10
9
1
0
5
5
0
6
4
腹部
11
, 百拇医药
6
5
0
0
6
5
9
2
臂丛
4
3
1
0
1
, http://www.100md.com
3
0
2
2
胸壁
2
2
0
0
1
0
1
2
0
, 百拇医药
合计
57
42
15
13
22
15
6
45
12
颈部神经鞘瘤4例位于颈动脉三角区,1例位于腮腺前下方,1例见于咽侧间隙。表现为圆形或类圆形软组织肿块影,边缘光滑,密度均匀或不均匀,低于肌肉密度,CT值35Hu-42Hu,注入造影剂增强扫描见病灶强化明显2例,不均匀强化2例,颈部血管受压移位(图3)。
, 百拇医药
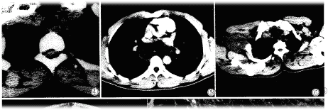
纵隔内神经鞘瘤,除1例位于椎体前方外,其余均位于脊柱两旁,边缘光滑,宽基底与脊柱相连,密度一般均匀(图4),2例呈低密度(类似水样密度)CT值13-19Hu,其余8例密度均匀低于或等于肌肉密度,增强扫描1例无强化(图5),4例不均匀强化。胸椎及肋骨骨质未见明确破坏和吸收,肿瘤未侵入椎管内。
臂丛神经鞘瘤呈圆形,类圆形软组织块影,位于臂丛神经走行区或与之关系密切的部位,CT平扫肿块低于或略低于肌肉密度(图6),边缘光滑。增强扫描高于肌肉低于血管。
腹部神经鞘瘤来源较复杂,11例中肝1例,胰腺1例,胃2例,其余7例位于腹壁及腹膜后椎旁。腹部神经鞘瘤因发生的组织器官不同,CT表现差异较大。本组腹部恶性神经鞘瘤,CT征象为肿瘤体积大,大部分边缘光滑,但不规则,有的与周围组织分界不清,粘连,密度不均,中心见更低密度灶(出血、液化、坏死),增强扫描均呈不均匀强化(图7)。


, http://www.100md.com
图1腰5椎管内神经鞘瘤椎间盘突出术后二年,腰5右侧神经根增粗,呈圆形软组织密度影。图2颈7椎管内神经鞘瘤,脊髓向前受压变扁,蛛网膜腔增宽扩大。图3颈动脉鞘区偏后神经鞘瘤,增强扫描强化不均匀,血管受压向前移位。图4纵隔神经鞘瘤宽基底与脊柱相连,边缘光滑,密度均匀。图5纵隔神经鞘瘤增强扫描,边缘轻度强化,中心不强化。图6臂丛神经鞘瘤,边缘光滑,密度均匀。图7腹腔恶性神经鞘瘤,肿瘤不规则,密度不均,见大片液化坏死区。图8神经鞘瘤病理见瘤细胞呈栅栏状改变(×40)
57例神经鞘瘤大体病理见表2。包膜完整42例,占73.6%,实性质45例占78.9%,光镜下肿瘤以鞘细胞为主,呈栅栏状或漩涡状排列(图8),主要有多细胞的AntoniA型组织和少细胞的AntoniB型组织。14例恶性神经鞘瘤见轻度异型性7例,核分裂像8例,细胞生长活跃5例。
3 讨论
周围神经鞘瘤可发生于任何有神经纤维分布的组织和器官,发病部位常见于椎管内髓外硬膜内,后纵隔腹膜后和椎旁[4]等神经走行及分布区域。本组57例中,有24例位于椎管内,10例发生于后纵隔,与文献报道相符。发病年龄多为30~50岁,占73.7%,男性多于女性,临床上除椎管内肿瘤较早出现神经系统症状外,大多数均以无痛性肿块就诊,有的是无意中体检时发现。
, 百拇医药
椎管内神经鞘瘤多见于髓外硬膜内,髓外硬膜外少见,偶见于脊髓[5],发生于髓外硬膜内的神经鞘瘤多呈圆形或椭圆形,边缘光滑,CT平扫时由于肿物较小,其大小、轮廓、形态显示不佳,仅表现为蛛网膜腔的扩大。据文献报道MRI因其特殊信号对比,能清楚地显示肿瘤大小,形态和脊髓受压情况。因此我们认为对于椎管内神经鞘瘤,如果临床症状典型,CT扫描未发现特征性表现,应加扫MRI,或检查时首选MRI。
颈部,后纵隔,腹部及臂丛等部位的周围神经鞘瘤CT扫描能明确显示肿瘤的部位、大小及与周围组织的关系,分析本组不同部位33例肿瘤的CT表现,其征象为肿瘤呈等于、略低于或低于肌肉密度的软组织块影,边缘光滑,密度均匀,或不均匀,增强扫描大部分呈不均匀强化,个别病例不强化。探其CT征象与病理组织学关系考虑与下列因素有关。①CT平扫时密度低于肌肉密度主要因为肿瘤细胞排列疏松,间质成分多,细胞间水肿液及粘液成分较多[2],CT平扫时呈低密度。另外神经鞘瘤与肌肉组织相比衰减少,平扫时CT值较肌肉组织低,这是肿瘤低衰减与雪旺细胞粘液基质水份含量高有关[6]。②CT上显示肿块边缘光滑(42/57)主要是由于肿瘤有完整的包膜(42/57),CT征象与病理所见无明确差异。③CT上肿块显示密度不均,强化不均匀与肿瘤出血、坏死,囊变有关。神经鞘瘤不均匀强化取决于AntoniB区细胞过少,囊变,蚀源性和结节性黄瘤[7]。本组病例密度不均匀多见于肿瘤出血,坏死,囊变,但强化不均匀除肿瘤出血,囊变,坏死外,可能与神经鞘瘤细胞排列有关,细胞排列疏松时,CT增强扫描呈不均匀强化。
, 百拇医药
恶性神经鞘瘤生长快、体积大,14例均大于5cm,肿瘤边缘光滑但不规则,密度不均,液化、坏死多见。病理所见除有典型的神经鞘瘤改变外,可见细胞生长活跃,核分裂及异型性。恶性神经鞘瘤CT诊断较具特点,一般肿瘤倍增迅速,边缘不规则、坏死、液化明显,或多次复发,应考虑恶性。
周围神经鞘瘤主要沿神经膜生长,沿神经轴挤压神经干,包膜完整,细胞呈栅栏状及漩涡状排列,病理诊断不难。CT表现也有其特征,但应与其他软组织肿瘤鉴别,如果CT检查发现软组织肿瘤位于大神经干或神经丛分布区域,或连接其临近的周围神经及末梢神经,可诊断神经鞘瘤,最后定性仍需依靠病理。
王晓琪:现为石家庄白求恩国际和平医院放射科主治医师
[参 考 文 献 ]
[1]Jin- Suck S,Pasquale A,Haward R,et al.Peripheral (Extracrani-al) Nerve Tumors:Correlation of MR imaging and histologic findings.Radi-ology,1992,183:341~ 346.
, 百拇医药
[2]Heping H,Qiliu H.Signal intensity correlation of MRI with pathological findings in spinal neurinomas.Neuroradiology,1992,34:98~ 102.
[3]程天明,邹士顺.椎管内神经鞘瘤-MR表现及其病理组织学特征.中华放射学杂志,1995,33(8):488~489
[4]Warren W,Man H,Shiu M,et al.Cellular schwannoma a clinicopathologic study of 57 patients and 58 tumors.Cancer,1990,66:1266~ 1275.
[5]梁碧玲.脊柱肿瘤的影象学诊断.广东第七届放射学术会议资料汇编,1998:28~30.
[6]Bourgouin PM,Shepard JO- AO,Moore EH,et al.Plexiform neurofibromatosis of the mediastinum CT appearance.AJR,1988,151:461~ 463.
[7]Beggs I.Pictorial review:Imaging of peripheral nerve tumours.Clin Radiol,1997,58:8~ 17.
1999-11-08收稿, 百拇医药
单位:第一军医大学南方医院影像中心,广东 广州 510515
关键词:神经鞘瘤;体层摄影术;X线计算机
中国临床医学影像杂志000404
[摘要] 目的:分析周围神经鞘瘤的CT表现,探讨其CT征象与病理组织学关系。材料与方法:报告57例经手术病理证实,CT资料完整的神经鞘瘤。其中椎管内24例,颈部6例,纵隔10例,腹部11例,臂丛4例,胸壁2例。结果:除部分椎管内神经鞘瘤CT表现软组织肿块不明显外,其余部位的神经鞘瘤CT平扫为等于、略低于或低于肌肉密度的软组织肿块影,边缘光滑,密度均匀或不均匀,增强扫描呈不均匀强化,其病理因素有:①肿瘤细胞外液丰富,含水量高。②细胞排列稀疏,间质成分及粘液成分多。③肿瘤包膜完整。④肿瘤出血,坏死,囊变。结论:神经鞘瘤具有沿神经分布,低于肌肉密度并不均匀强化的特点,有助于与其他软组织肿瘤鉴别。神经鞘瘤的CT征象缺乏特异性时,确诊需靠病理诊断。
, http://www.100md.com
[中图分类号]R739.43 [文献标识码]A
[文章编号]1008-1062(2000)04-0237-04
CT diagnosis and histologic findings of peripheral neurilemoma
WANG Xiao-qi,ZHANG Xue-lin,CHEN Yan-ping,CAI Qing fen,LIU Xing-yuan
(Imaging Diagnostic Center,Nanfang Hospital,The First Military Medical University,Guangzhou 510515,China)
Abstract:Objective:To analyze the CT features of peripheral neurilemoma and the relationship between CT features and pathological findings.Materials and Methods:57 cases of neurilemoma proved surgically were reviewed.The sites of the tumor were intravertebral canal(24 cases),cervical region(6 cases),mediastinum(10 cases),abdomen(11 cases),bronchia plexus(4 cases)and chest wall(2 cases) Results:The neurilemoma of intraspinal canal didn't show definite soft tissue mass.All the neurilemomas in other aver demonstrated isodense or mild hypotenuse masses on plain CT scan,with well- defined marge,homogeneous or heterogeneous attenuation.After contrast the lesions showed inhomogeneous enhancement.The corresponding pathological findings related to the CT features were:① Full of extracellular fluid and water.② Loosely arranged cells with more interstitial and myxoid tissue.③ The lesions were usually well encapsulated.④ Bleeding,necrosis and cystic changes within the lesions.Conclusion:Although the CT features of neurilemoma didn't have specificity,the exact diagnosis depended on the histopathology,on the other hand,neurilemoma had the characteristics of along the nerve distribution,hypodensity and inhomogeneous enhancement on CT scan,which can help to distinguish it from other soft- tissue tumors.
, 百拇医药
Key words:neurilemoma;tomography,X- ray computed
周围神经鞘瘤特别是椎管内神经鞘瘤的MR表现及病理组织学特征已有较详细报道[1-3],但颅神经以外的神经鞘瘤CT征象与病理分析较少见,我们回顾分析我院1992年-1998年经手术病理证实,CT检查资料完整的神经鞘瘤57例(颅神经鞘瘤除外),以探讨周围神经鞘瘤的CT表现和病理组织学关系。
1 材料与方法
1.1 一般资料
57例中,男性34例,女性23例,年龄16~74岁,平均年龄43.3岁。其中30~50岁42人,占73.7%。发生于椎管内24例,颈部6例,纵隔10例,腹部11例,臂丛神经4例,胸壁2例。病理诊断恶性神经鞘瘤14例,占24.5%。
, http://www.100md.com
1.2 临床表现
肿瘤发生部位不同,临床症状和体征不一,椎管内神经鞘瘤易压迫脊神经,故出现症状较早也较重,24例病人均有不同程度的肢体疼痛,麻木。伴进行性感觉丧失,肌力减退,感觉异常,出现走蚁感(4人),病程长者肌肉萎缩。6例颈部肿瘤均以无痛性肿块就诊,仅2例伴轻度头颈部不适。位于纵隔的神经鞘瘤除两例有轻度咳嗽,发热外,其余均无明确症状和体征,10例中有8例是体检时无意中发现。腹部神经鞘瘤大部分为无痛性肿块,发现时已较大,侵及、压迫周围组织出现压迫刺激症状。4例臂丛神经鞘瘤是以无痛性肿块就诊,压之轻痛并向同侧手臂放射。
2 结果
57例病人均采用西门子SOMATOMPLUS全身CT机对病变部位轴位扫描,层厚5mm~10mm,32例病人注入Angiografin80ml行增强扫描。肿瘤的发病部位、大小、边缘、密度及增强情况见表1。
, 百拇医药
椎管肿瘤24例,以颈胸段为多(16/22),位于髓外硬膜内16例,髓外硬膜外8例。大部分椎管内神经鞘瘤肿物边界显示不清,CT表现为界线不清之软组织密度影,有的见神经根增粗,呈圆形软组织密度或表现为蛛网膜腔增宽扩大,脊髓向一侧移位(图1、2),5例见椎体骨质吸收,椎间孔扩大。
表1 55例神经鞘瘤发病部位及大体病理所见 位
例数
大小(cm)
边缘
密度
增强
1~2
2.1~5
, http://www.100md.com
5.1~10
>10
光滑
不光滑
均匀
不均匀
强化
不强化
椎管
24
6
8
0
0
, http://www.100md.com
11
3
6
8
9
0
颈部
6
2
4
0
0
5
1
, 百拇医药
4
2
6
0
纵隔
10
0
5
5
0
10
0
8
2
, http://www.100md.com
4
1
腹部
11
0
0
6
5
9
2
4
7
7
1
, 百拇医药
臂丛
4
0
3
1
0
4
0
3
1
1
1
胸壁
2
, http://www.100md.com
1
0
0
1
2
0
1
1
2
0
合计
57
9
20
, 百拇医药
12
6
41
6
26
21
29
3
注:57例中有25例未做增强扫描,椎管肿瘤有10例未见明确软组织肿块表2 55例神经鞘瘤发病部位及大体病理所见 部位
例数
包膜
大小(cm)
, 百拇医药
切面
完整
不完整
1~2
2.1~4
5.1~10
>10
实性
囊性
椎管
24
17
7
, 百拇医药 12
11
1
0
20
4
颈部
6
5
1
2
4
0
0
, 百拇医药
6
0
纵隔
10
9
1
0
5
5
0
6
4
腹部
11
, 百拇医药
6
5
0
0
6
5
9
2
臂丛
4
3
1
0
1
, http://www.100md.com
3
0
2
2
胸壁
2
2
0
0
1
0
1
2
0
, 百拇医药
合计
57
42
15
13
22
15
6
45
12
颈部神经鞘瘤4例位于颈动脉三角区,1例位于腮腺前下方,1例见于咽侧间隙。表现为圆形或类圆形软组织肿块影,边缘光滑,密度均匀或不均匀,低于肌肉密度,CT值35Hu-42Hu,注入造影剂增强扫描见病灶强化明显2例,不均匀强化2例,颈部血管受压移位(图3)。
, 百拇医药
纵隔内神经鞘瘤,除1例位于椎体前方外,其余均位于脊柱两旁,边缘光滑,宽基底与脊柱相连,密度一般均匀(图4),2例呈低密度(类似水样密度)CT值13-19Hu,其余8例密度均匀低于或等于肌肉密度,增强扫描1例无强化(图5),4例不均匀强化。胸椎及肋骨骨质未见明确破坏和吸收,肿瘤未侵入椎管内。
臂丛神经鞘瘤呈圆形,类圆形软组织块影,位于臂丛神经走行区或与之关系密切的部位,CT平扫肿块低于或略低于肌肉密度(图6),边缘光滑。增强扫描高于肌肉低于血管。
腹部神经鞘瘤来源较复杂,11例中肝1例,胰腺1例,胃2例,其余7例位于腹壁及腹膜后椎旁。腹部神经鞘瘤因发生的组织器官不同,CT表现差异较大。本组腹部恶性神经鞘瘤,CT征象为肿瘤体积大,大部分边缘光滑,但不规则,有的与周围组织分界不清,粘连,密度不均,中心见更低密度灶(出血、液化、坏死),增强扫描均呈不均匀强化(图7)。
, http://www.100md.com
图1腰5椎管内神经鞘瘤椎间盘突出术后二年,腰5右侧神经根增粗,呈圆形软组织密度影。图2颈7椎管内神经鞘瘤,脊髓向前受压变扁,蛛网膜腔增宽扩大。图3颈动脉鞘区偏后神经鞘瘤,增强扫描强化不均匀,血管受压向前移位。图4纵隔神经鞘瘤宽基底与脊柱相连,边缘光滑,密度均匀。图5纵隔神经鞘瘤增强扫描,边缘轻度强化,中心不强化。图6臂丛神经鞘瘤,边缘光滑,密度均匀。图7腹腔恶性神经鞘瘤,肿瘤不规则,密度不均,见大片液化坏死区。图8神经鞘瘤病理见瘤细胞呈栅栏状改变(×40)
57例神经鞘瘤大体病理见表2。包膜完整42例,占73.6%,实性质45例占78.9%,光镜下肿瘤以鞘细胞为主,呈栅栏状或漩涡状排列(图8),主要有多细胞的AntoniA型组织和少细胞的AntoniB型组织。14例恶性神经鞘瘤见轻度异型性7例,核分裂像8例,细胞生长活跃5例。
3 讨论
周围神经鞘瘤可发生于任何有神经纤维分布的组织和器官,发病部位常见于椎管内髓外硬膜内,后纵隔腹膜后和椎旁[4]等神经走行及分布区域。本组57例中,有24例位于椎管内,10例发生于后纵隔,与文献报道相符。发病年龄多为30~50岁,占73.7%,男性多于女性,临床上除椎管内肿瘤较早出现神经系统症状外,大多数均以无痛性肿块就诊,有的是无意中体检时发现。
, 百拇医药
椎管内神经鞘瘤多见于髓外硬膜内,髓外硬膜外少见,偶见于脊髓[5],发生于髓外硬膜内的神经鞘瘤多呈圆形或椭圆形,边缘光滑,CT平扫时由于肿物较小,其大小、轮廓、形态显示不佳,仅表现为蛛网膜腔的扩大。据文献报道MRI因其特殊信号对比,能清楚地显示肿瘤大小,形态和脊髓受压情况。因此我们认为对于椎管内神经鞘瘤,如果临床症状典型,CT扫描未发现特征性表现,应加扫MRI,或检查时首选MRI。
颈部,后纵隔,腹部及臂丛等部位的周围神经鞘瘤CT扫描能明确显示肿瘤的部位、大小及与周围组织的关系,分析本组不同部位33例肿瘤的CT表现,其征象为肿瘤呈等于、略低于或低于肌肉密度的软组织块影,边缘光滑,密度均匀,或不均匀,增强扫描大部分呈不均匀强化,个别病例不强化。探其CT征象与病理组织学关系考虑与下列因素有关。①CT平扫时密度低于肌肉密度主要因为肿瘤细胞排列疏松,间质成分多,细胞间水肿液及粘液成分较多[2],CT平扫时呈低密度。另外神经鞘瘤与肌肉组织相比衰减少,平扫时CT值较肌肉组织低,这是肿瘤低衰减与雪旺细胞粘液基质水份含量高有关[6]。②CT上显示肿块边缘光滑(42/57)主要是由于肿瘤有完整的包膜(42/57),CT征象与病理所见无明确差异。③CT上肿块显示密度不均,强化不均匀与肿瘤出血、坏死,囊变有关。神经鞘瘤不均匀强化取决于AntoniB区细胞过少,囊变,蚀源性和结节性黄瘤[7]。本组病例密度不均匀多见于肿瘤出血,坏死,囊变,但强化不均匀除肿瘤出血,囊变,坏死外,可能与神经鞘瘤细胞排列有关,细胞排列疏松时,CT增强扫描呈不均匀强化。
, 百拇医药
恶性神经鞘瘤生长快、体积大,14例均大于5cm,肿瘤边缘光滑但不规则,密度不均,液化、坏死多见。病理所见除有典型的神经鞘瘤改变外,可见细胞生长活跃,核分裂及异型性。恶性神经鞘瘤CT诊断较具特点,一般肿瘤倍增迅速,边缘不规则、坏死、液化明显,或多次复发,应考虑恶性。
周围神经鞘瘤主要沿神经膜生长,沿神经轴挤压神经干,包膜完整,细胞呈栅栏状及漩涡状排列,病理诊断不难。CT表现也有其特征,但应与其他软组织肿瘤鉴别,如果CT检查发现软组织肿瘤位于大神经干或神经丛分布区域,或连接其临近的周围神经及末梢神经,可诊断神经鞘瘤,最后定性仍需依靠病理。
王晓琪:现为石家庄白求恩国际和平医院放射科主治医师
[参 考 文 献 ]
[1]Jin- Suck S,Pasquale A,Haward R,et al.Peripheral (Extracrani-al) Nerve Tumors:Correlation of MR imaging and histologic findings.Radi-ology,1992,183:341~ 346.
, 百拇医药
[2]Heping H,Qiliu H.Signal intensity correlation of MRI with pathological findings in spinal neurinomas.Neuroradiology,1992,34:98~ 102.
[3]程天明,邹士顺.椎管内神经鞘瘤-MR表现及其病理组织学特征.中华放射学杂志,1995,33(8):488~489
[4]Warren W,Man H,Shiu M,et al.Cellular schwannoma a clinicopathologic study of 57 patients and 58 tumors.Cancer,1990,66:1266~ 1275.
[5]梁碧玲.脊柱肿瘤的影象学诊断.广东第七届放射学术会议资料汇编,1998:28~30.
[6]Bourgouin PM,Shepard JO- AO,Moore EH,et al.Plexiform neurofibromatosis of the mediastinum CT appearance.AJR,1988,151:461~ 463.
[7]Beggs I.Pictorial review:Imaging of peripheral nerve tumours.Clin Radiol,1997,58:8~ 17.
1999-11-08收稿, 百拇医药