降钙素在支气管扩张症肺组织表达的临床意义
http://www.100md.com
37c医学网
作者:杨宇 张新民 罗俊铭
单位:杨宇(第二附属医院老年病科 长沙 410011);张新民(病理科);罗俊铭(病理科)
关键词:支气管扩张;肺神经内分泌细胞*;降钙素;免疫组织化学
湖南医科大学学报000116 摘 要:目的:为了解支气管扩张症肺组织降钙素 (CT)抗原表达水平与其病变特点的关系。方法:应用免疫组化方法定量分析支气管扩张组 和非支气管扩张组近肺组织10cm气道上皮长度内CT阳性的肺神经内分泌细胞(PNEC)数。结果:支气管扩张症组肺组织内CT阳性细胞数为(67.59±10.57)个,非支气管扩张组肺组 织内CT阳性细胞数仅为(5.48±1.06)个(P<0.001)。结论:支气管扩张症肺组织内高水平的CT表达可能与支气管扩张症慢性炎性病理形态学改变有关。
分类号:R562.2 文献标识码:A
, http://www.100md.com
文章编号:1000-5625(2000)01-0048-03
Clinical significance of calcitonin expression
in lung tissue w ith bronchiectasis
YANG Yu
(Department of Geriatrics)
ZHANG Xing-min, LUO Jun-ming
(Department of Pathology, The Second Affiliated Hospital, Hunan Medical University Changsha 410011)
, http://www.100md.com
Abstract:Objective: To investigate the relation betwee n the pathologic feature of bronchiectasis and the expression of calcitonin(CT ) protei n within pulmonary neuroendocrine cells(PNEC) in bronchiectasis. Method : CT expr ession of PNEC was detected using immunohistochemistry(SP method) and quantitati ve analysis was completed by counting CT positive cell number on per 10cm leng th of epithelium. Result: CT positive PNEC were found both at all lev els of airw ay tree in all 37 cases of bronchiectasis and 10 cases of control, b ut none were found in alveolar ducts and alveoli. In bronchiectasis, CT positiv e PNEC was 67 .59±10.57 per 10cm length of epithelium, and in control group 5. 48±1.06. Sta tistical analysis revealed a significant difference between bronch iectasis and c ontrol(P<0.001). Conclusion: There was a high level CT expres sion in bronchi ectasis. The PNEC hyperplasia may play a role in the chronic inf lammation of bro nchiectasis.
, http://www.100md.com
Key words:bronchiectasis;pulmonary neuroendocrine cell* ;calcitonin;immunohistochemistry▲
八十年代,有作者注意到呼吸系统疾病常伴发有 高 降钙素(calcitonin, CT)血症和高CT尿症[1]。九十年代, Polak等通过免疫 组化 、免疫电镜和杂交组化等多种技术证实肺内广泛存在CT阳性的“肺神经内分泌细胞”( PNEC) [2]。由于PNEC数目分布稀少,支气管扩张症肺组织中CT阳性的PNEC的定量 报道甚 少[3]。本研究对37例支气管扩张症肺组织内CT阳性的PNEC进行免疫组化 相对定量 分析,旨在揭示CT阳性的PNEC增生与支气管扩张症之间的内在联系。
1 材料与方法
1.1 材料 (1)标本收集:37例支气管扩张症患者手术切除的肺组织(支气 管扩张症组),大部分病例术前经支气管碘油造影确诊;10例猝死、中毒和外伤等无肺 部疾 患的尸检肺组织(对照组),均经10%福尔马林固定,常规石蜡包埋切片,分别作HE和CT 免疫 组化染色。(2)免疫组化试剂:兔抗人CT多克隆抗体,生物素标记的羊IgG及SP(链霉素 标志 的过氧化物酶)复合物均购自福建迈新生物制品公司。
, 百拇医药
1.2 方法
1.2.1 免疫组化染色 石蜡切片经脱蜡,水化后放入pH 7.4的磷酸盐缓冲液(PBS) 中,经甲醇-0.3% H2O2于室温孵育20min,以固定并除去内源性过氧化物酶活性, 蒸馏水和PBS清洗,小牛血清封闭。在PBS清洗3次后,加入兔抗人CT抗体,4℃过夜,然后经 PBS清洗,加入生物素化羊抗兔IgG,30min,PBS清洗,加入SP复合物30min,PBS清洗, AEC(3-氨基-9-乙酯咔唑)显色。同时用PBS替代一抗作阴性对照和用已知CT阳性的切 片 作阳性对照。
1.2.2 降钙素阳性细胞计量分析 参考Gosney等方法[4]计数每 例切片中气道上皮长度(肺泡管和肺泡不计在内)及CT阳性细胞数目。显微镜下以一标尺为1 cm单位作为计量支气管长度的依据,计算出每例总计10cm以上长度内CT阳性细胞数目。
, 百拇医药
1.3 统计学处理 支气管扩张症组和对照组的CT阳性细胞数用均数±标准 差(
±s)表示,统计学分析用t检验。
2 结 果
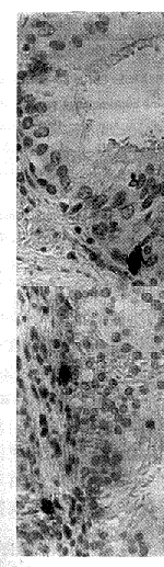
在支气管扩张症组和对照组肺组织中均可见少数被染成棕红色的CT阳性细胞。它们分布于肺 内各级支气管上皮细胞间,以支气管分叉处较多见。肺泡管上皮细胞偶可见极个别CT阳性 细 胞 。CT阳性细胞一般以单个存在,相嵌于气道上皮细胞间,大多位于基底膜上,呈柱状 或锥形 ;核圆形或椭圆形,位于细胞基部或中部。成簇分布的神经上皮小体(Neuroepithel ial Bod y, NEB)很少见,多存在于支气管分叉处和气道上皮细胞增生的区域。对照组NEB十 分罕见, 10例仅发现2个NEB。在气道上皮长度内,支气管扩张症CT阳性细胞平均数为(67. 59±10.5 7)个,而对照组仅为(5.48±1.06)个,两组比较差异有显著性(P<0.001) 。支气管扩 张症组CT阳性细胞的分布除支气管分叉处较多见外,也见于支气管腔内脓性分泌物,管周纤 维组织、淋巴组织及支气管上皮 细胞增生的区域(图1~4)。



, 百拇医药
图1 管腔内炎性渗出物及上皮细胞间有降钙 素阳性细胞(SP,×400) 图2,3 管壁淋巴细胞浸润, 纤维组织增生及上皮细胞间有降钙素阳性细胞(SP,×400) 图4 支气管上皮细胞增生,细胞间有降钙素阳性细胞(SP,×400)
Fig. 1 Edema fluid eluid elueidating shows intercel lar positive expression of calcitonin in bronchial columnar epithlial(SP, ×400 ) Fig. 2,3 Lymphocytes infltrating and fibro ge n hyperplasis show intercellar positive expression of calcitonin in bronchial co lumnar epithilar cells(SP,×400) Fig. 4 Ep thel ial hyperplasia show intercellar positive expression in bronchial columnar epith elial(SP, ×400)
, 百拇医药
3 讨 论
PNEC在肺内数目稀少,其鉴定受多种因素影响[5],一般认为含苦味酸的固定剂能 较好地保存PNEC的神经分泌颗粒[6]。在档案病例回顾性研究中,福尔马林为常 规 固定剂对保存PNEC的蛋白质抗原有一定的影响[5]。本研究结果显示CT阳性的P NEC 数 目并不少见,说明只要严格控制实验条件,有高效价的抗体,仍能从某些PNEC的特 殊标志将 其区分开来。有关PNEC的定量研究,目前大致有以下几种计量方式:单位切片面 积,单位切 片张数,单位上皮长度及单位上皮细胞数目等。在定量研究PNEC肽类和胺类物 质的表达时, 许多作者以10cm气道上皮细胞长度内阳性细胞数目作为定量范围[3, 4]。本研 究以10cm气道上皮长度作计量区域,定量研究PNEC的CT表达,其结果与以往 文献报道较接 近[3]。
PNEC含有CT等多种肽类及胺类活性物质[2]。支气管扩张症、慢性支气管炎、细菌 性肺炎、吸入性肺损伤,以及吸烟等多种呼吸系统疾病或有害因子刺激常伴发有高CT血症 和 高CT尿症[1,4,8],提示CT参与了支气管及肺组织的炎症反应过程。CT除 维持 血钙浓度外,目前还发现能促进胎肺发育,调节氧分压,促进离体肺癌细胞增殖等多 种作用 [9]。本研究还发现支气管扩张症组CT阳性细胞的分布除支气管分叉处和 管腔内浓 性分泌物较多见外,也见于支气管壁增生的纤维组织,管周淋巴组织及支气管上 皮细胞增生 的区域。笔者认为,支气管扩张症CT阳性细胞表达增高与支气管扩张伴发的慢 性炎症的病理 形态学改变有一定关系。其局部CT表达增高可能系机体对支气管扩张病变的 一种局部性的代 偿或调节机制。
, http://www.100md.com
作者简介:杨宇(1958-),男,副主任医师
参考文献:
[1]Becker KL, Nash D, Silva DL, et al. Increase berum a nd urinary calcitonin in patients with pulmonary disease[J]. Chest, 1981,79:2 1 1-216.
[2]Polak JM, Becker KL, Cutz E, et al. Lung endocrine cell markers, pept ides and amines[J]. Anat Rec, 1993,236:169-171.
[3]仇晓菲,谭郁彬,张金时.支气管扩张症神经内分泌和免疫活性细胞的变化[J]. 中华病理学杂志,1994,23:73-75.
, 百拇医药
[4]Gosney TR, Sissons MCJ, Allibone RD, et al. Pulmonary endocrine cells in chronic bronchitis and emphysema[J]. J Pathol, 1989,157:127-133.
[5]罗俊铭,钱仲斐,谭受玲,等.固定剂和固定时间对保存肺神经内分泌细胞降钙素 抗原性的实验研究[J].湖南医科大学学报,1995,20():77-79.
[6]Pack RJ, Widdicombe JG. Aminecontaining cells of lung[J]. Eur J Respir Dis, 1984,65:559-578.
[7]Tabassian AR, Snier JG, RH, Nyler ES, et al. Heterogeneity studies of hamster calcitonin following acute exposure crgarette smoke. Evidence for mono m eric secretion[J]. Anat Rec, 1993,236:256.
, http://www.100md.com
[8]Becker KL, O'Neil WJ, Snider Jr RH, et al. Hypercalcitonemia in inh a lation burn in jury: A response of Tue pulmonary neuroendocrine cell[J]. Anat Rec, 1993:236-238.
[9]Ito T, Nogawa H, Udaka N, et al. Development of pulmonary neuroendocrine cells of fetal hamster in explants culture[J]. Lab Invest, 1997,77:449.
收稿日期:1999-03-24, 百拇医药
单位:杨宇(第二附属医院老年病科 长沙 410011);张新民(病理科);罗俊铭(病理科)
关键词:支气管扩张;肺神经内分泌细胞*;降钙素;免疫组织化学
湖南医科大学学报000116 摘 要:目的:为了解支气管扩张症肺组织降钙素 (CT)抗原表达水平与其病变特点的关系。方法:应用免疫组化方法定量分析支气管扩张组 和非支气管扩张组近肺组织10cm气道上皮长度内CT阳性的肺神经内分泌细胞(PNEC)数。结果:支气管扩张症组肺组织内CT阳性细胞数为(67.59±10.57)个,非支气管扩张组肺组 织内CT阳性细胞数仅为(5.48±1.06)个(P<0.001)。结论:支气管扩张症肺组织内高水平的CT表达可能与支气管扩张症慢性炎性病理形态学改变有关。
分类号:R562.2 文献标识码:A
, http://www.100md.com
文章编号:1000-5625(2000)01-0048-03
Clinical significance of calcitonin expression
in lung tissue w ith bronchiectasis
YANG Yu
(Department of Geriatrics)
ZHANG Xing-min, LUO Jun-ming
(Department of Pathology, The Second Affiliated Hospital, Hunan Medical University Changsha 410011)
, http://www.100md.com
Abstract:Objective: To investigate the relation betwee n the pathologic feature of bronchiectasis and the expression of calcitonin(CT ) protei n within pulmonary neuroendocrine cells(PNEC) in bronchiectasis. Method : CT expr ession of PNEC was detected using immunohistochemistry(SP method) and quantitati ve analysis was completed by counting CT positive cell number on per 10cm leng th of epithelium. Result: CT positive PNEC were found both at all lev els of airw ay tree in all 37 cases of bronchiectasis and 10 cases of control, b ut none were found in alveolar ducts and alveoli. In bronchiectasis, CT positiv e PNEC was 67 .59±10.57 per 10cm length of epithelium, and in control group 5. 48±1.06. Sta tistical analysis revealed a significant difference between bronch iectasis and c ontrol(P<0.001). Conclusion: There was a high level CT expres sion in bronchi ectasis. The PNEC hyperplasia may play a role in the chronic inf lammation of bro nchiectasis.
, http://www.100md.com
Key words:bronchiectasis;pulmonary neuroendocrine cell* ;calcitonin;immunohistochemistry▲
八十年代,有作者注意到呼吸系统疾病常伴发有 高 降钙素(calcitonin, CT)血症和高CT尿症[1]。九十年代, Polak等通过免疫 组化 、免疫电镜和杂交组化等多种技术证实肺内广泛存在CT阳性的“肺神经内分泌细胞”( PNEC) [2]。由于PNEC数目分布稀少,支气管扩张症肺组织中CT阳性的PNEC的定量 报道甚 少[3]。本研究对37例支气管扩张症肺组织内CT阳性的PNEC进行免疫组化 相对定量 分析,旨在揭示CT阳性的PNEC增生与支气管扩张症之间的内在联系。
1 材料与方法
1.1 材料 (1)标本收集:37例支气管扩张症患者手术切除的肺组织(支气 管扩张症组),大部分病例术前经支气管碘油造影确诊;10例猝死、中毒和外伤等无肺 部疾 患的尸检肺组织(对照组),均经10%福尔马林固定,常规石蜡包埋切片,分别作HE和CT 免疫 组化染色。(2)免疫组化试剂:兔抗人CT多克隆抗体,生物素标记的羊IgG及SP(链霉素 标志 的过氧化物酶)复合物均购自福建迈新生物制品公司。
, 百拇医药
1.2 方法
1.2.1 免疫组化染色 石蜡切片经脱蜡,水化后放入pH 7.4的磷酸盐缓冲液(PBS) 中,经甲醇-0.3% H2O2于室温孵育20min,以固定并除去内源性过氧化物酶活性, 蒸馏水和PBS清洗,小牛血清封闭。在PBS清洗3次后,加入兔抗人CT抗体,4℃过夜,然后经 PBS清洗,加入生物素化羊抗兔IgG,30min,PBS清洗,加入SP复合物30min,PBS清洗, AEC(3-氨基-9-乙酯咔唑)显色。同时用PBS替代一抗作阴性对照和用已知CT阳性的切 片 作阳性对照。
1.2.2 降钙素阳性细胞计量分析 参考Gosney等方法[4]计数每 例切片中气道上皮长度(肺泡管和肺泡不计在内)及CT阳性细胞数目。显微镜下以一标尺为1 cm单位作为计量支气管长度的依据,计算出每例总计10cm以上长度内CT阳性细胞数目。
, 百拇医药
1.3 统计学处理 支气管扩张症组和对照组的CT阳性细胞数用均数±标准 差(
2 结 果
在支气管扩张症组和对照组肺组织中均可见少数被染成棕红色的CT阳性细胞。它们分布于肺 内各级支气管上皮细胞间,以支气管分叉处较多见。肺泡管上皮细胞偶可见极个别CT阳性 细 胞 。CT阳性细胞一般以单个存在,相嵌于气道上皮细胞间,大多位于基底膜上,呈柱状 或锥形 ;核圆形或椭圆形,位于细胞基部或中部。成簇分布的神经上皮小体(Neuroepithel ial Bod y, NEB)很少见,多存在于支气管分叉处和气道上皮细胞增生的区域。对照组NEB十 分罕见, 10例仅发现2个NEB。在气道上皮长度内,支气管扩张症CT阳性细胞平均数为(67. 59±10.5 7)个,而对照组仅为(5.48±1.06)个,两组比较差异有显著性(P<0.001) 。支气管扩 张症组CT阳性细胞的分布除支气管分叉处较多见外,也见于支气管腔内脓性分泌物,管周纤 维组织、淋巴组织及支气管上皮 细胞增生的区域(图1~4)。
, 百拇医药
图1 管腔内炎性渗出物及上皮细胞间有降钙 素阳性细胞(SP,×400) 图2,3 管壁淋巴细胞浸润, 纤维组织增生及上皮细胞间有降钙素阳性细胞(SP,×400) 图4 支气管上皮细胞增生,细胞间有降钙素阳性细胞(SP,×400)
Fig. 1 Edema fluid eluid elueidating shows intercel lar positive expression of calcitonin in bronchial columnar epithlial(SP, ×400 ) Fig. 2,3 Lymphocytes infltrating and fibro ge n hyperplasis show intercellar positive expression of calcitonin in bronchial co lumnar epithilar cells(SP,×400) Fig. 4 Ep thel ial hyperplasia show intercellar positive expression in bronchial columnar epith elial(SP, ×400)
, 百拇医药
3 讨 论
PNEC在肺内数目稀少,其鉴定受多种因素影响[5],一般认为含苦味酸的固定剂能 较好地保存PNEC的神经分泌颗粒[6]。在档案病例回顾性研究中,福尔马林为常 规 固定剂对保存PNEC的蛋白质抗原有一定的影响[5]。本研究结果显示CT阳性的P NEC 数 目并不少见,说明只要严格控制实验条件,有高效价的抗体,仍能从某些PNEC的特 殊标志将 其区分开来。有关PNEC的定量研究,目前大致有以下几种计量方式:单位切片面 积,单位切 片张数,单位上皮长度及单位上皮细胞数目等。在定量研究PNEC肽类和胺类物 质的表达时, 许多作者以10cm气道上皮细胞长度内阳性细胞数目作为定量范围[3, 4]。本研 究以10cm气道上皮长度作计量区域,定量研究PNEC的CT表达,其结果与以往 文献报道较接 近[3]。
PNEC含有CT等多种肽类及胺类活性物质[2]。支气管扩张症、慢性支气管炎、细菌 性肺炎、吸入性肺损伤,以及吸烟等多种呼吸系统疾病或有害因子刺激常伴发有高CT血症 和 高CT尿症[1,4,8],提示CT参与了支气管及肺组织的炎症反应过程。CT除 维持 血钙浓度外,目前还发现能促进胎肺发育,调节氧分压,促进离体肺癌细胞增殖等多 种作用 [9]。本研究还发现支气管扩张症组CT阳性细胞的分布除支气管分叉处和 管腔内浓 性分泌物较多见外,也见于支气管壁增生的纤维组织,管周淋巴组织及支气管上 皮细胞增生 的区域。笔者认为,支气管扩张症CT阳性细胞表达增高与支气管扩张伴发的慢 性炎症的病理 形态学改变有一定关系。其局部CT表达增高可能系机体对支气管扩张病变的 一种局部性的代 偿或调节机制。
, http://www.100md.com
作者简介:杨宇(1958-),男,副主任医师
参考文献:
[1]Becker KL, Nash D, Silva DL, et al. Increase berum a nd urinary calcitonin in patients with pulmonary disease[J]. Chest, 1981,79:2 1 1-216.
[2]Polak JM, Becker KL, Cutz E, et al. Lung endocrine cell markers, pept ides and amines[J]. Anat Rec, 1993,236:169-171.
[3]仇晓菲,谭郁彬,张金时.支气管扩张症神经内分泌和免疫活性细胞的变化[J]. 中华病理学杂志,1994,23:73-75.
, 百拇医药
[4]Gosney TR, Sissons MCJ, Allibone RD, et al. Pulmonary endocrine cells in chronic bronchitis and emphysema[J]. J Pathol, 1989,157:127-133.
[5]罗俊铭,钱仲斐,谭受玲,等.固定剂和固定时间对保存肺神经内分泌细胞降钙素 抗原性的实验研究[J].湖南医科大学学报,1995,20():77-79.
[6]Pack RJ, Widdicombe JG. Aminecontaining cells of lung[J]. Eur J Respir Dis, 1984,65:559-578.
[7]Tabassian AR, Snier JG, RH, Nyler ES, et al. Heterogeneity studies of hamster calcitonin following acute exposure crgarette smoke. Evidence for mono m eric secretion[J]. Anat Rec, 1993,236:256.
, http://www.100md.com
[8]Becker KL, O'Neil WJ, Snider Jr RH, et al. Hypercalcitonemia in inh a lation burn in jury: A response of Tue pulmonary neuroendocrine cell[J]. Anat Rec, 1993:236-238.
[9]Ito T, Nogawa H, Udaka N, et al. Development of pulmonary neuroendocrine cells of fetal hamster in explants culture[J]. Lab Invest, 1997,77:449.
收稿日期:1999-03-24, 百拇医药