软组织内间叶性软骨肉瘤1例
http://www.100md.com
37c医学网
作者:樊峰 何影娟 吴伟国 缪杏珍
单位:(苏州市第二人民医院病理科,苏州 215002)
关键词:软骨肉瘤;病理学,临床
临床与实验病理学杂志000137中图分类号 R738.3 文献标识码 A
文章编号 1001-7399(2000)01-0086-01
患者女性,27岁。2年前发现左侧腹股沟蚕豆大肿块并逐渐增大,近4个月肿块明显增大伴局部酸胀麻木感。体检:左腹股沟三角区见一隆起性肿块约14 cm×12 cm,表面皮肤静脉曲张,局部温度较高,边界不清,活动差,压之酸胀感。X线片示左腹上段内侧巨大软组织肿块,边缘尚清,病灶中央见斑片状高密度影,股骨无异常。临床诊断为左腹股沟横纹肌肉瘤。术中见肿瘤位于肌束之间,与周围组织界限尚清,无明显包膜,其上端突入腹股沟管,并包绕股动脉、股静脉及神经,切除肿瘤,并作股动脉、静脉血管移植。
, http://www.100md.com
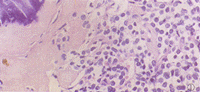
病理检查 结节肿块,17 cm×14 cm×7 cm,无明显包膜,切面灰白,鱼肉状,近中心部钙化。镜下见肿瘤由大片原始间叶细胞及散在分布的岛状软骨组织和血管组成。间叶细胞的形态大小较为一致,多为小圆形或短梭形,细胞核深染,核仁不清,细胞质极少。细胞界限不清,偶见核分裂,在成片的间叶细胞之间可见分化成熟软骨组织呈岛状分布,并见到钙化和骨化(图1)。部分区域血管丰富,肿瘤细胞围绕血管生长,呈血管外皮细胞瘤样(图2)。病理诊断:左腹股沟软组织内间叶性软骨肉瘤。
讨论 间叶性软骨肉瘤是一种少见的恶性肿瘤。本瘤大多自骨骼发生,较少发生于骨外软组织。从软组织发生者主要多见于头颈部,特别是眼眶、脑、脊膜,其次下肢,特别是大腿,还可以发生于胸壁、后腹膜,近年有报道发生于后纵隔。病人年龄5~75岁,平均22~27岁,约67%~71%发生在20~30岁之间,没有明显性差异〔1〕。临床上,除肿块外,常因肿瘤压迫神经而引起相应症状。X线摄片可见软组织内肿块影。常伴有絮状或点状钙化高密度影。肉眼所见,肿块呈结节状或分叶状,境界清,但多无包膜。肿瘤直径2.5~37 cm,有报道平均13 cm,发生于软组织中的肿瘤如不及时切除可生长为较大肿块。肿瘤的外周部分常较软,中央部分较硬,常见钙化灶、骨化灶及软骨小灶,偶见出血坏死。本瘤有其独特的病理组织学特征:主要是大片未分化间叶性瘤细胞,其间散布着分化良好的软骨小岛。未分化间叶细胞呈小圆形、短梭形,形态大小较为一致,细胞质极少,核深染,核分裂象多少不一。这些细胞通常紧密排列,弥散成片。在冷冻切片或小块组织活检时,常易误诊,有时在部分区域,可见到大量分枝状血管腔隙,类似血管外皮细胞瘤改变。软骨小岛大多境界清,有时可见到与间叶细胞间移行,常伴有中央钙化和骨化。

, http://www.100md.com
图1 图右侧为未分化间叶性瘤细胞,呈小圆形、短梭形,图左方为软骨组织,中心区见钙化。HE×400
图2 右未分化间叶的肌区,见大量血管腔隙类似血管外
皮细胞瘤样。HE×100
本瘤特别应与血管外皮细胞瘤,滑膜肉瘤,骨外分化型软骨内瘤鉴别。(1)恶性血管外皮细胞瘤不含有软骨灶,适当的取材,特别是肿瘤中央部位取材,见到软骨灶即可作出间叶性软骨肉瘤的诊断。(2)滑膜肉瘤的临床和放射学特性有时与骨外间叶性软骨肉瘤类似,镜下也可能显示血管外皮细胞瘤样改变,并见片状梭形细胞及区域性钙化,然而见到细胞双向分化有助于滑膜肉瘤的诊断,必要时借助免疫酶标,滑膜肉瘤可以表达keratin、EMA阳性。再者滑膜肉瘤伴软骨化生者极为少见。(3)骨外分化型软骨肉瘤,缺少特征性未分化间叶细胞区及血管外皮细胞瘤样图像。
间叶性软骨肉瘤的预后较差,局部复发或转移可以很快出现,也可以发生在20年后。本瘤可经血道、淋巴道转移,最常见的转移部位是肺。发生在任何部位的间叶性软骨肉瘤的长期存活率是差的,长期随访是必要的。手术广泛切除为最有效的治疗方法。
参考文献
1,Zakkak TB, Flynn TR, Boguslaw B et al. Mesendymal chondrosarcoma of the Mandible:Case Report and Review of the literature. J Oral Maxillofac Surg,1998;56:84
收稿日期:1999-06-18, http://www.100md.com
单位:(苏州市第二人民医院病理科,苏州 215002)
关键词:软骨肉瘤;病理学,临床
临床与实验病理学杂志000137中图分类号 R738.3 文献标识码 A
文章编号 1001-7399(2000)01-0086-01
患者女性,27岁。2年前发现左侧腹股沟蚕豆大肿块并逐渐增大,近4个月肿块明显增大伴局部酸胀麻木感。体检:左腹股沟三角区见一隆起性肿块约14 cm×12 cm,表面皮肤静脉曲张,局部温度较高,边界不清,活动差,压之酸胀感。X线片示左腹上段内侧巨大软组织肿块,边缘尚清,病灶中央见斑片状高密度影,股骨无异常。临床诊断为左腹股沟横纹肌肉瘤。术中见肿瘤位于肌束之间,与周围组织界限尚清,无明显包膜,其上端突入腹股沟管,并包绕股动脉、股静脉及神经,切除肿瘤,并作股动脉、静脉血管移植。
, http://www.100md.com
病理检查 结节肿块,17 cm×14 cm×7 cm,无明显包膜,切面灰白,鱼肉状,近中心部钙化。镜下见肿瘤由大片原始间叶细胞及散在分布的岛状软骨组织和血管组成。间叶细胞的形态大小较为一致,多为小圆形或短梭形,细胞核深染,核仁不清,细胞质极少。细胞界限不清,偶见核分裂,在成片的间叶细胞之间可见分化成熟软骨组织呈岛状分布,并见到钙化和骨化(图1)。部分区域血管丰富,肿瘤细胞围绕血管生长,呈血管外皮细胞瘤样(图2)。病理诊断:左腹股沟软组织内间叶性软骨肉瘤。
讨论 间叶性软骨肉瘤是一种少见的恶性肿瘤。本瘤大多自骨骼发生,较少发生于骨外软组织。从软组织发生者主要多见于头颈部,特别是眼眶、脑、脊膜,其次下肢,特别是大腿,还可以发生于胸壁、后腹膜,近年有报道发生于后纵隔。病人年龄5~75岁,平均22~27岁,约67%~71%发生在20~30岁之间,没有明显性差异〔1〕。临床上,除肿块外,常因肿瘤压迫神经而引起相应症状。X线摄片可见软组织内肿块影。常伴有絮状或点状钙化高密度影。肉眼所见,肿块呈结节状或分叶状,境界清,但多无包膜。肿瘤直径2.5~37 cm,有报道平均13 cm,发生于软组织中的肿瘤如不及时切除可生长为较大肿块。肿瘤的外周部分常较软,中央部分较硬,常见钙化灶、骨化灶及软骨小灶,偶见出血坏死。本瘤有其独特的病理组织学特征:主要是大片未分化间叶性瘤细胞,其间散布着分化良好的软骨小岛。未分化间叶细胞呈小圆形、短梭形,形态大小较为一致,细胞质极少,核深染,核分裂象多少不一。这些细胞通常紧密排列,弥散成片。在冷冻切片或小块组织活检时,常易误诊,有时在部分区域,可见到大量分枝状血管腔隙,类似血管外皮细胞瘤改变。软骨小岛大多境界清,有时可见到与间叶细胞间移行,常伴有中央钙化和骨化。
, http://www.100md.com
图1 图右侧为未分化间叶性瘤细胞,呈小圆形、短梭形,图左方为软骨组织,中心区见钙化。HE×400
图2 右未分化间叶的肌区,见大量血管腔隙类似血管外
皮细胞瘤样。HE×100
本瘤特别应与血管外皮细胞瘤,滑膜肉瘤,骨外分化型软骨内瘤鉴别。(1)恶性血管外皮细胞瘤不含有软骨灶,适当的取材,特别是肿瘤中央部位取材,见到软骨灶即可作出间叶性软骨肉瘤的诊断。(2)滑膜肉瘤的临床和放射学特性有时与骨外间叶性软骨肉瘤类似,镜下也可能显示血管外皮细胞瘤样改变,并见片状梭形细胞及区域性钙化,然而见到细胞双向分化有助于滑膜肉瘤的诊断,必要时借助免疫酶标,滑膜肉瘤可以表达keratin、EMA阳性。再者滑膜肉瘤伴软骨化生者极为少见。(3)骨外分化型软骨肉瘤,缺少特征性未分化间叶细胞区及血管外皮细胞瘤样图像。
间叶性软骨肉瘤的预后较差,局部复发或转移可以很快出现,也可以发生在20年后。本瘤可经血道、淋巴道转移,最常见的转移部位是肺。发生在任何部位的间叶性软骨肉瘤的长期存活率是差的,长期随访是必要的。手术广泛切除为最有效的治疗方法。
参考文献
1,Zakkak TB, Flynn TR, Boguslaw B et al. Mesendymal chondrosarcoma of the Mandible:Case Report and Review of the literature. J Oral Maxillofac Surg,1998;56:84
收稿日期:1999-06-18, http://www.100md.com